Dent-plast.pl - Twoje źródło wiedzy o zdrowiu i stomatologii
Profesjonalne informacje o zdrowiu jamy ustnej
Dent-plast.pl to wyjątkowy portal zdrowotny, w którym zespół ekspertów dzieli się swoją wiedzą na temat stomatologii, profilaktyki oraz higieny jamy ustnej. Nasze artykuły, porady i najnowsze badania są stworzone z myślą o tym, aby pomóc Ci zadbać o zdrowie zębów i dziąseł. Każdy z naszych autorów wnosi unikalne spojrzenie i doświadczenie, co sprawia, że znajdziesz tu różnorodne perspektywy i praktyczne wskazówki. Zachęcamy do eksploracji naszych treści, które nie tylko poszerzą Twoją wiedzę, ale również zainspirują do dbania o swój uśmiech. Zostań z nami i odkryj, jak łatwo można wprowadzić zdrowe nawyki w życie!
Polecane artykuły
Objawy ropowicy dna jamy ustnej – jak je rozpoznać i unikać powikłań
Poznaj objawy ropowicy dna jamy ustnej i dowiedz się, jak je rozpoznać oraz unikać powikłań, które mogą zagrażać zdrowiu.
Jakie leki na wakacje dla niemowlaka, aby uniknąć problemów zdrowotnych
Zadbaj o zdrowie swojego niemowlaka na wakacjach. Sprawdź, jakie leki na wakacje dla niemowlaka warto zabrać, aby uniknąć problemów zdrowotnych.
Skuteczne leki na drżenie rąk - poznaj najlepsze metody leczenia
Poznaj skuteczne leki na drżenie rąk i dowiedz się, jaki lek na drżenie rąk może pomóc w łagodzeniu objawów. Sprawdź najlepsze metody leczenia!
Jak długo trwa zapalenie jamy ustnej u dziecka? Sprawdź przyczyny i objawy
Czas trwania zapalenia jamy ustnej u dziecka wynosi zazwyczaj od 7 do 14 dni. Sprawdź przyczyny, objawy i co zrobić, aby przyspieszyć powrót do zdrowia.
Polecane artykuły
Zmniejsz problemy z dziąsłami dzięki regularnemu stosowaniu irygatora
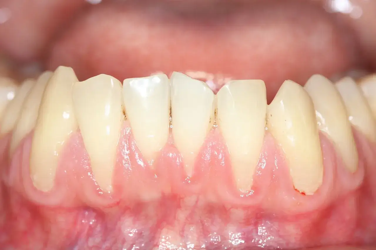
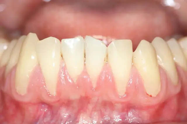
Krwawienie podczas szczotkowania, zaczerwienienie czy nadwrażliwość to sygnały, których nie wolno ignorować. Mogą to być pierwsze objawy zapalenia dziąseł. Dochodzi do niego na skutek nagromadzenia płytki bakteryjnej w miejscach, do których szczoteczka nie dociera. Wielu z nas próbuje walczyć z tym problemem za pomocą nici dentystycznej. Jednak jej zbyt intensywne używanie może prowadzić do mechanicznych uszkodzeń delikatnej tkanki.
Czy od leków na tarczycę się tyje? Odkryj prawdę o wadze
Czy od leków na tarczycę się tyje? Dowiedz się, jak leki wpływają na wagę i co warto wiedzieć o niedoczynności tarczycy oraz jej skutkach.
Artykuły z kategorii Leki
Kategoria Jama ustna
Co na nadżerki w jamie ustnej? Skuteczne metody leczenia i ulgi
Zmagasz się z nadżerkami w jamie ustnej? Sprawdź skuteczne metody leczenia i ulgi, które pomogą Ci szybko wrócić do zdrowia i komfortu.
Która szczoteczka soniczna lepsza: Oral-B czy Philips Sonicare?
Która szczoteczka soniczna lepsza: Oral-B czy Philips? Porównaj ich skuteczność, komfort i technologie, aby wybrać idealną szczoteczkę dla siebie.
Infekcja jamy ustnej objawy – jak je rozpoznać i leczyć skutecznie
Poznaj objawy infekcji jamy ustnej, takie jak ból, pieczenie i obrzęk. Dowiedz się, jak je skutecznie rozpoznać i leczyć, aby uniknąć powikłań.
Co daje szczoteczka soniczna do zębów? Odkryj jej niesamowite zalety
Dowiedz się, co daje szczoteczka soniczna do zębów. Poznaj jej zalety, skuteczność w usuwaniu płytki i bezpieczeństwo dla szkliwa oraz dziąseł.
Która szczoteczka lepsza: soniczna czy oscylacyjna dla zdrowych zębów?
Zastanawiasz się, która szczoteczka lepsza: soniczna czy oscylacyjna? Sprawdź, jak obie technologie wpływają na zdrowie zębów i dziąseł.
Kategoria Dziąsła
Jak bezpiecznie stosować olejek goździkowy na dziąsła i uniknąć bólu
Dowiedz się, jak bezpiecznie stosować olejek goździkowy na dziąsła, aby złagodzić ból i wspierać zdrowie jamy ustnej. Sprawdź nasze sprawdzone metody!