Czy dziąsła się regenerują? To pytanie nurtuje wiele osób, które zmagają się z problemami zdrowotnymi jamy ustnej. Niestety, dziąsła nie regenerują się w sposób naturalny, a zanikła tkanka dziąsła nie odrasta, nawet jeśli przyczyna problemu została skutecznie wyleczona. W przypadku niewielkich uszkodzeń, takich jak te powstałe po zabiegach stomatologicznych, dziąsła mogą odbudować się samoistnie. Jednak w bardziej zaawansowanych przypadkach konieczne jest wsparcie specjalistyczne.
W artykule omówimy, jakie czynniki wpływają na zdrowie dziąseł, a także jakie choroby, takie jak paradontoza, mogą utrudniać ich regenerację. Zrozumienie tych aspektów jest kluczowe dla utrzymania zdrowia jamy ustnej i zapobiegania dalszym problemom. Przedstawimy również metody wspierające regenerację dziąseł, które można stosować w domu.Kluczowe informacje:- Dziąsła nie regenerują się naturalnie, a zanikła tkanka nie odrasta.
- Małe uszkodzenia mogą się odbudować, ale poważniejsze przypadki wymagają pomocy specjalisty.
- Choroby dziąseł, takie jak paradontoza, znacząco wpływają na zdolność regeneracyjną.
- Recesja dziąseł jest procesem nieodwracalnym, ale można go leczyć.
- Istnieją domowe metody wspierające zdrowie dziąseł, w tym odpowiednia higiena i dieta.
Jak dziąsła się regenerują i co to oznacza dla zdrowia?
Dziąsła, będące ważnym elementem zdrowia jamy ustnej, nie regenerują się w sposób naturalny. Zanikła tkanka dziąsła nie odrasta, co oznacza, że nawet po skutecznym wyleczeniu przyczyny problemu, zdrowie dziąseł może pozostać zagrożone. W przypadku niewielkich uszkodzeń, takich jak te po zabiegach stomatologicznych, istnieje możliwość, że dziąsła odbudują się samoistnie. Jednak w bardziej zaawansowanych przypadkach konieczne jest wsparcie specjalistyczne.
Oczekiwania dotyczące procesu regeneracji dziąseł są zróżnicowane. Warto pamiętać, że zdrowie dziąseł jest kluczowe dla ogólnego zdrowia jamy ustnej. W przypadku niektórych osób, odpowiednia higiena jamy ustnej oraz zdrowy styl życia mogą wspierać naturalne procesy gojenia. Należy jednak zaznaczyć, że w sytuacjach poważniejszych, takich jak recesja dziąseł, regeneracja może być niemożliwa, a leczenie wymaga interwencji stomatologa.
Naturalna regeneracja dziąseł: co można oczekiwać?
Naturalna regeneracja dziąseł jest procesem, który może być wspierany przez odpowiednie nawyki higieniczne i zdrowy tryb życia. Odpowiednia higiena jamy ustnej, w tym regularne szczotkowanie zębów i używanie nici dentystycznej, może przyczynić się do poprawy stanu dziąseł. Ponadto, zdrowa dieta bogata w witaminy i minerały, takie jak witamina C i wapń, również wspiera regenerację. Warto jednak pamiętać, że nie wszystkie uszkodzenia dziąseł mają szansę na samodzielne wyleczenie.
Ograniczenia naturalnego gojenia: kiedy potrzebna jest pomoc?
Naturalne gojenie dziąseł ma swoje ograniczenia. W przypadku poważniejszych uszkodzeń lub chorób, profesjonalna interwencja jest niezbędna. Na przykład, jeśli dziąsła krwawią regularnie lub są chronicznie zaczerwienione, to sygnał, że potrzebna jest pomoc dentysty. W takich sytuacjach samodzielne metody, takie jak domowe płukanki czy suplementy, mogą nie wystarczyć.
Oprócz widocznych objawów, takich jak ból czy obrzęk, istnieją również inne znaki, które wskazują na konieczność wizyty u specjalisty. Jeśli odczuwasz nadwrażliwość na ciepłe lub zimne pokarmy, może to sugerować, że dziąsła nie regenerują się prawidłowo. W takich przypadkach zaleca się konsultację z dentystą, który może ocenić stan zdrowia dziąseł i zaproponować odpowiednie leczenie.
Choroby dziąseł a ich zdolność do regeneracji
Choroby dziąseł, takie jak paradontoza i recesja, mają znaczący wpływ na zdolność dziąseł do regeneracji. Paradontoza to poważna infekcja, która prowadzi do uszkodzenia tkanki dziąseł oraz kości, co znacznie utrudnia naturalne gojenie. W przypadku tej choroby, nawet jeśli przyczyny zostaną usunięte, regeneracja tkanek może być ograniczona, a konieczne będą interwencje chirurgiczne.
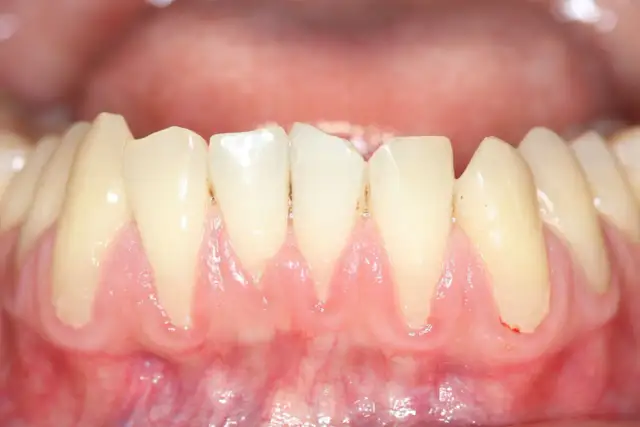
Recesja dziąseł to inny problem, który wpływa na zdrowie jamy ustnej. W tym przypadku dziąsła odsuwają się od zębów, co prowadzi do odsłonięcia korzeni i zwiększonego ryzyka próchnicy. Niestety, proces recesji jest nieodwracalny, ale istnieją metody leczenia, które mogą zapobiec dalszemu pogorszeniu się stanu zdrowia dziąseł. Regularne wizyty u dentysty i odpowiednia higiena jamy ustnej są kluczowe dla zapobiegania tym problemom.Jak paradontoza wpływa na zdrowie dziąseł?
Paradontoza to poważna choroba, która ma negatywny wpływ na zdrowie dziąseł. Jest to infekcja, która prowadzi do zapalenia tkanek otaczających zęby, co może skutkować ich osłabieniem i wypadaniem. Główne przyczyny paradontozy to niewłaściwa higiena jamy ustnej, nagromadzenie płytki nazębnej oraz genetyka. Objawy tej choroby obejmują krwawienie dziąseł, ich zaczerwienienie oraz obrzęk, co znacznie utrudnia naturalną regenerację tkanek.W przypadku paradontozy, zdolność dziąseł do regeneracji jest poważnie ograniczona. Nawet po wyleczeniu infekcji, zniszczona tkanka dziąsła nie odrasta, co oznacza, że pacjenci mogą doświadczać trwałych uszkodzeń. Dlatego tak ważne jest, aby jak najszybciej zareagować na pierwsze objawy choroby i skonsultować się z dentystą. Wczesna diagnostyka i interwencja mogą pomóc w zapobieganiu dalszym komplikacjom zdrowotnym.
Recesja dziąseł: przyczyny i metody leczenia
Recesja dziąseł to kolejny poważny problem zdrowotny, który może wystąpić z różnych powodów. Najczęstszymi przyczynami są niewłaściwe szczotkowanie zębów, genetyka, a także choroby przyzębia. Osoby, które zbyt mocno szczotkują zęby, mogą uszkodzić delikatne tkanki dziąseł, co prowadzi do ich odsuwania się od zębów. Ponadto, zgrzytanie zębami oraz niewłaściwa higiena jamy ustnej również przyczyniają się do recesji.
W przypadku recesji dziąseł, dostępnych jest kilka metod leczenia. Można zastosować zabiegi chirurgiczne, takie jak przeszczep dziąsła, które mają na celu przywrócenie zdrowego wyglądu i funkcji dziąseł. Istnieją także metody niechirurgiczne, takie jak kiretaż, które pomagają w usunięciu zanieczyszczeń z powierzchni korzeni zębów. Ważne jest, aby pacjenci regularnie konsultowali się z dentystą, aby monitorować stan zdrowia dziąseł i podejmować odpowiednie działania w razie potrzeby.
Czytaj więcej: Jak dentysta wyrywa zęba: co musisz wiedzieć przed ekstrakcją
Metody wspierające regenerację dziąseł w domu

Właściwa pielęgnacja jamy ustnej jest kluczowa dla zdrowia dziąseł i może wspierać ich regenerację. Codzienna higiena jamy ustnej, obejmująca szczotkowanie zębów co najmniej dwa razy dziennie oraz używanie nici dentystycznej, pomaga w usuwaniu płytki nazębnej i resztek pokarmowych, które mogą prowadzić do stanów zapalnych. Dodatkowo, stosowanie płukanek do ust z antybakteryjnymi składnikami może pomóc w redukcji bakterii, co przyczynia się do lepszego zdrowia dziąseł.
Oprócz higieny jamy ustnej, zdrowy styl życia ma ogromne znaczenie dla regeneracji dziąseł. Regularne spożywanie pokarmów bogatych w witaminy i minerały, takich jak owoce i warzywa, wspiera układ odpornościowy i pomaga organizmowi w walce z infekcjami. Warto również unikać palenia tytoniu, które negatywnie wpływa na zdrowie dziąseł i może prowadzić do ich recesji. Zmiany w diecie oraz nawykach mogą znacząco wpłynąć na kondycję dziąseł i ich zdolność do regeneracji.
| Metoda | Korzyści |
|---|---|
| Codzienne szczotkowanie zębów | Usuwa płytkę nazębną i resztki pokarmowe |
| Używanie nici dentystycznej | Oczyszcza przestrzenie między zębami |
| Płukanki do ust | Redukują bakterie i stan zapalny |
| Zdrowa dieta | Wspiera układ odpornościowy i regenerację |
| Unikanie palenia | Poprawia zdrowie dziąseł |
Praktyczne porady na rzecz zdrowia dziąseł i ich ochrony
Aby zapewnić zdrowie dziąseł, ważne jest przestrzeganie kilku kluczowych zasad dotyczących higieny jamy ustnej. Codzienne szczotkowanie zębów przynajmniej dwa razy dziennie z użyciem pasty z fluorem jest podstawą skutecznej ochrony. Należy również pamiętać o używaniu nici dentystycznej, która pomaga w usuwaniu resztek pokarmowych i płytki nazębnej z miejsc, do których szczoteczka nie ma dostępu. Regularne wizyty u dentysty, co najmniej raz na pół roku, pozwalają na wczesne wykrywanie problemów i ich skuteczne leczenie.
Oprócz tych podstawowych praktyk, warto wprowadzić również zdrowe nawyki żywieniowe. Unikanie nadmiaru cukrów oraz spożywanie pokarmów bogatych w witaminy, zwłaszcza witaminy C i D, wspiera zdrowie dziąseł. Ograniczenie palenia tytoniu oraz unikanie zgrzytania zębami to kolejne kroki, które mogą znacząco poprawić kondycję dziąseł. Pamiętaj, że zdrowe dziąsła to nie tylko estetyka, ale również klucz do ogólnego zdrowia jamy ustnej.
Suplementy i dieta wspierające zdrowie dziąseł
Odpowiednia dieta oraz suplementy mogą znacząco wspierać zdrowie dziąseł. Spożywanie pokarmów bogatych w witaminę C, takich jak pomarańcze, kiwi i papryka, jest kluczowe dla zdrowia dziąseł, ponieważ witamina ta wspomaga produkcję kolagenu, który jest niezbędny do ich regeneracji. Dodatkowo, suplementy zawierające witaminę D pomagają w utrzymaniu zdrowia kości, co jest istotne dla stabilności zębów.
- Witamina C - wspiera regenerację dziąseł; zalecana dawka: 500 mg dziennie.
- Witamina D - pomaga w wchłanianiu wapnia; zalecana dawka: 1000 IU dziennie.
- Wapń - kluczowy dla zdrowych zębów; zalecana dawka: 1000 mg dziennie.
- Koenzym Q10 - wspiera zdrowie dziąseł; zalecana dawka: 30 mg dziennie.
Jak technologia wpływa na zdrowie dziąseł i ich regenerację?
W dzisiejszych czasach technologia odgrywa coraz większą rolę w dbaniu o zdrowie dziąseł. Innowacyjne urządzenia, takie jak elektroniczne szczoteczki do zębów, oferują zaawansowane funkcje, które pomagają w skuteczniejszym usuwaniu płytki nazębnej i poprawiają technikę szczotkowania. Niektóre modele są wyposażone w czujniki, które monitorują siłę nacisku i informują użytkownika, gdy szczotkuje zbyt mocno, co może zapobiegać uszkodzeniom dziąseł. Dodatkowo, aplikacje mobilne związane z higieną jamy ustnej mogą przypominać o regularnym szczotkowaniu, a także oferować porady dotyczące zdrowego stylu życia i diety.
W przyszłości możemy spodziewać się jeszcze większego rozwoju technologii związanej z zdrowiem dziąseł. Na przykład, inteligentne urządzenia mogą być w stanie analizować mikrobiom jamy ustnej, co pozwoli na lepsze zrozumienie indywidualnych potrzeb zdrowotnych pacjentów. Takie podejście personalizowane może znacząco wpłynąć na skuteczność profilaktyki i leczenia chorób dziąseł, a także na ich regenerację. Inwestowanie w nowoczesne technologie w codziennej pielęgnacji jamy ustnej to krok w stronę lepszego zdrowia dziąseł i ogólnego samopoczucia.