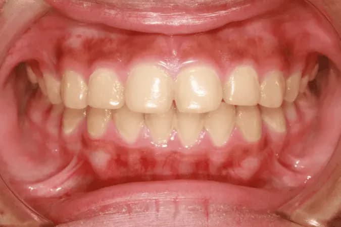
Jak wyglądają zdrowe dziąsła? To pytanie, które zadaje sobie wiele osób, pragnących zadbać o swoje zdrowie jamy ustnej. Zdrowe dziąsła są kluczowe dla ogólnego stanu zębów i jamy ustnej. Powinny być różowe, jędrne i ściśle przylegać do zębów, nie odsłaniając ich korzeni. Ich wygląd może się nieco różnić w zależności od karnacji, ale zawsze powinny być gładkie i wolne od przebarwień, plam, czy obrzęków.
Ważne jest, aby dziąsła nie krwawiły podczas szczotkowania, nitkowania ani przy jedzeniu. Brak bólu, dyskomfortu oraz nieprzyjemnego zapachu z ust to dodatkowe sygnały, które świadczą o ich zdrowiu. W tym artykule przyjrzymy się cechom zdrowych dziąseł, objawom, które mogą wskazywać na problemy, oraz skutecznym metodom pielęgnacji, które pomogą utrzymać je w dobrej kondycji.
Najważniejsze informacje:
- Zdrowe dziąsła są różowe, jędrne i gładkie, nie krwawią podczas codziennej pielęgnacji.
- Ich kolor może się różnić w zależności od karnacji, ale powinny być wolne od przebarwień i obrzęków.
- Objawy takie jak krwawienie, zaczerwienienie i obrzęk mogą wskazywać na problemy z dziąsłami.
- Prawidłowe techniki szczotkowania i nitkowania są kluczowe dla zdrowia dziąseł.
- Dieta oraz unikanie palenia mają istotny wpływ na kondycję dziąseł.
- Regularne wizyty u dentysty są ważne dla monitorowania zdrowia jamy ustnej.
Jakie cechy mają zdrowe dziąsła? Sprawdź ich wygląd i kolor
Zdrowe dziąsła mają kilka charakterystycznych cech, które świadczą o ich dobrym stanie. Po pierwsze, ich kolor powinien być różowy i jednolity, co oznacza, że nie ma żadnych przebarwień ani plam. Dziąsła powinny ściśle przylegać do zębów, nie odsłaniając ich korzeni. Warto zauważyć, że odcień zdrowych dziąseł może się różnić w zależności od karnacji – u osób o ciemniejszej skórze mogą być ciemniejsze, co nadal jest normalne.
Oprócz koloru, tekstura i gładkość dziąseł również są kluczowe dla oceny ich zdrowia. Powinny być gładkie i jędrne, a ich powierzchnia nie powinna być szorstka ani nierówna. Każda zmiana w teksturze, taka jak obrzęk czy rozpuszczone miejsca, może być sygnałem ostrzegawczym, że coś jest nie tak. Prawidłowe dziąsła nie krwawią podczas szczotkowania ani nitkowania, co jest dodatkowym wskaźnikiem ich zdrowia.
| Charakterystyka zdrowych dziąseł | Znaki zdrowia | 
|---|---|
| Kolor różowy | Brak przebarwień i plam | 
| Gładka tekstura | Brak szorstkości i nierówności | 
| Jędrność | Ścisłe przyleganie do zębów | 
| Brak krwawienia | Podczas szczotkowania i nitkowania | 
Kolor dziąseł: Co mówi o ich zdrowiu i kondycji
Kolor dziąseł jest jednym z najważniejszych wskaźników ich zdrowia. Zdrowe dziąsła mają z reguły różowy kolor, który może się nieco różnić w zależności od indywidualnych cech organizmu. U osób o ciemniejszej karnacji, dziąsła mogą przybierać ciemniejszy odcień, co jest naturalne. Warto jednak zwrócić uwagę na wszelkie zmiany w kolorze, takie jak zaczerwienienie czy pojawienie się plam, które mogą wskazywać na problemy zdrowotne, takie jak zapalenie dziąseł.
Tekstura i gładkość: Jak powinny wyglądać zdrowe dziąsła
Zdrowe dziąsła powinny być nie tylko odpowiedniego koloru, ale także gładkie i jędrne. Ich powierzchnia powinna być wolna od nierówności, a także wszelkich obrzęków czy rozpuszczonych miejsc. Gładkie dziąsła są oznaką dobrego stanu zdrowia, a wszelkie zmiany w ich teksturze mogą być sygnałem, że należy skonsultować się z dentystą. Prawidłowe dziąsła nie powinny sprawiać bólu ani dyskomfortu, co jest kluczowe dla ogólnego zdrowia jamy ustnej.
Jakie objawy wskazują na problemy z dziąsłami? Uważaj na te sygnały
Problemy z dziąsłami mogą manifestować się w różnych formach, a ich wczesne rozpoznanie jest kluczowe dla zachowania zdrowia jamy ustnej. Objawy takie jak krwawienie dziąseł, ich zaczerwienienie oraz obrzęk mogą wskazywać na rozwijające się choroby przyzębia. Ignorowanie tych sygnałów może prowadzić do poważniejszych problemów zdrowotnych, w tym utraty zębów. Dlatego warto zwracać uwagę na wszelkie zmiany w kondycji dziąseł i niezwłocznie reagować na niepokojące objawy.
Warto również pamiętać, że zdrowe dziąsła nie powinny krwawić ani podczas szczotkowania, ani nitkowania. Jeśli zauważysz jakiekolwiek nieprawidłowości, takie jak krwawienie, zaczerwienienie czy obrzęk, to sygnał, że należy skonsultować się z dentystą. Regularne kontrole stomatologiczne oraz dbanie o higienę jamy ustnej mogą pomóc w uniknięciu poważniejszych problemów.
Krwawienie dziąseł: Dlaczego jest to niepokojący objaw
Krwawienie dziąseł to jeden z najczęstszych objawów problemów z dziąsłami. Może być spowodowane różnymi czynnikami, takimi jak niewłaściwa higiena jamy ustnej, zapalenie dziąseł, czy nawet poważniejsze schorzenia, takie jak choroby przyzębia. Jeśli dziąsła krwawią podczas szczotkowania lub nitkowania, jest to sygnał, że coś jest nie tak, i warto jak najszybciej zgłosić się do dentysty. Ignorowanie tego objawu może prowadzić do dalszych komplikacji zdrowotnych, dlatego nie należy go lekceważyć.
Zaczerwienienie i obrzęk: Co oznaczają dla Twojego zdrowia
Zaczerwienienie i obrzęk dziąseł to kolejne sygnały, które mogą wskazywać na problemy zdrowotne. Te objawy często są wynikiem stanu zapalnego, który może być spowodowany przez bakterie gromadzące się na zębach i dziąsłach. Jeśli zauważysz, że Twoje dziąsła są czerwone i opuchnięte, może to oznaczać, że rozwija się zapalenie dziąseł. Wczesna interwencja jest kluczowa, aby zapobiec poważniejszym problemom, takim jak choroby przyzębia, które mogą prowadzić do utraty zębów.
- Krwawienie dziąseł: Sygnał, że może występować zapalenie lub inny problem zdrowotny.
- Zaczerwienienie: Wskazuje na stan zapalny, który wymaga uwagi.
- Obrzęk: Może być objawem infekcji lub stanu zapalnego.

Czytaj więcej: Jak stosować aloes na dziąsła, aby złagodzić ból i stany zapalne
Jak dbać o zdrowie dziąseł? Skuteczne metody pielęgnacji
Aby zachować zdrowe dziąsła, kluczowe jest stosowanie odpowiednich metod pielęgnacji. Prawidłowe szczotkowanie zębów to podstawowy krok w codziennej higienie jamy ustnej. Warto pamiętać, aby używać szczoteczki o miękkim włosiu, która nie uszkodzi dziąseł. Należy szczotkować zęby przez co najmniej dwie minuty, zwracając szczególną uwagę na miejsca, gdzie dziąsła stykają się z zębami. Regularne szczotkowanie, przynajmniej dwa razy dziennie, pomaga usunąć płytkę nazębną i zapobiega chorobom przyzębia.
Oprócz szczotkowania, równie ważne jest nitkowanie, które pozwala na dotarcie do miejsc, gdzie szczoteczka nie może dotrzeć. Nitkowanie powinno być wykonywane przynajmniej raz dziennie. Dzięki temu można usunąć resztki jedzenia i płytkę nazębną z przestrzeni międzyzębowych. Utrzymanie zdrowych dziąseł wymaga systematyczności i odpowiednich technik pielęgnacyjnych, które wspierają ogólny stan zdrowia jamy ustnej.
Techniki szczotkowania: Jak prawidłowo myć zęby i dziąsła
Prawidłowe techniki szczotkowania są kluczowe dla zdrowia dziąseł i zębów. Należy trzymać szczoteczkę pod kątem 45 stopni do linii dziąseł. Delikatnymi, okrężnymi ruchami należy szczotkować zarówno zęby, jak i dziąsła, aby nie podrażnić ich. Ważne jest, aby nie używać zbyt dużej siły, ponieważ może to prowadzić do uszkodzenia dziąseł. Należy również pamiętać o szczotkowaniu języka, co pomaga w usunięciu bakterii i poprawia świeżość oddechu. Regularne stosowanie tej techniki zapewnia lepszą higienę jamy ustnej.
Rola nitkowania: Dlaczego jest kluczowe dla zdrowych dziąseł
Nitkowanie odgrywa kluczową rolę w utrzymaniu zdrowych dziąseł. Pomaga w usunięciu resztek pokarmowych oraz płytki nazębnej z przestrzeni międzyzębowych, gdzie szczoteczka nie zawsze dociera. Regularne nitkowanie zmniejsza ryzyko zapalenia dziąseł oraz chorób przyzębia. Ważne jest, aby stosować odpowiednią technikę, wprowadzając nić delikatnie między zęby i wykonując ruchy w górę i w dół. Dzięki temu można skutecznie zadbać o zdrowie dziąseł i zębów.- Toothpaste: Colgate Total - zapewnia ochronę przed próchnicą i chorobami dziąseł.
- Mouthwash: Listerine Cool Mint - pomaga w eliminacji bakterii i odświeża oddech.
- Floss: Oral-B Glide - łatwo wchodzi w przestrzenie międzyzębowe i skutecznie usuwa płytkę nazębną.
Jakie nawyki mogą zaszkodzić zdrowym dziąsłom? Unikaj tych błędów
Wiele codziennych nawyków może negatywnie wpływać na zdrowie dziąseł. Jednym z najważniejszych czynników są niewłaściwe wybory dietetyczne. Spożywanie dużej ilości cukrów i przetworzonej żywności sprzyja rozwojowi bakterii w jamie ustnej, co może prowadzić do zapalenia dziąseł oraz innych problemów zdrowotnych. Ponadto, brak odpowiedniej ilości witamin, takich jak witamina C, może osłabić dziąsła i zwiększyć ryzyko ich chorób. Dlatego warto dbać o zrównoważoną dietę, bogatą w owoce, warzywa oraz produkty pełnoziarniste.Kolejnym nawykiem, który może zaszkodzić zdrowym dziąsłom, jest palenie papierosów. Nikotyna i inne substancje chemiczne zawarte w papierosach mają szkodliwy wpływ na zdrowie jamy ustnej. Palenie zmniejsza przepływ krwi do dziąseł, co utrudnia ich regenerację i zwiększa ryzyko wystąpienia chorób przyzębia. Osoby palące często zmagają się z problemami takimi jak przewlekłe zapalenie dziąseł, a także utrata zębów. Aby zadbać o zdrowie dziąseł, warto rozważyć rzucenie palenia i wprowadzenie zdrowych nawyków żywieniowych.
Dieta a zdrowie dziąseł: Co jeść, a czego unikać
Odpowiednia dieta ma kluczowe znaczenie dla zdrowia dziąseł. Spożywanie żywności bogatej w witaminy i minerały, takich jak owoce (np. jabłka, pomarańcze) oraz warzywa (np. marchewki, brokuły), wspiera zdrowie jamy ustnej. Z drugiej strony, należy unikać nadmiaru cukrów, które sprzyjają rozwojowi bakterii i płytki nazębnej. Również napoje gazowane i słodzone mogą negatywnie wpływać na kondycję dziąseł. Warto dbać o zrównoważoną dietę, aby wspierać zdrowie dziąseł i zębów.
Palenie papierosów: Jak wpływa na kondycję dziąseł
Palenie papierosów ma szkodliwy wpływ na zdrowie dziąseł i jamy ustnej. Nikotyna powoduje zwężenie naczyń krwionośnych, co ogranicza przepływ krwi do dziąseł i utrudnia ich regenerację. Palacze są bardziej narażeni na zapalenie dziąseł oraz inne poważne schorzenia, takie jak choroby przyzębia, które mogą prowadzić do utraty zębów. Ponadto, palenie wpływa na zmiany w mikroflorze jamy ustnej, co sprzyja rozwojowi bakterii. Rzucenie palenia może znacznie poprawić stan zdrowia dziąseł oraz ogólną kondycję jamy ustnej.

Kiedy zgłosić się do dentysty? Sygnały alarmowe dla zdrowia
Ważne jest, aby regularnie monitorować stan zdrowia dziąseł i zębów. Regularne wizyty u dentysty są kluczowe dla wczesnego wykrywania problemów. Zaleca się odwiedzanie stomatologa co najmniej co sześć miesięcy, nawet jeśli nie występują żadne objawy. Wczesne interwencje mogą zapobiec poważnym schorzeniom oraz oszczędzić czasu i kosztów leczenia w przyszłości. Dbanie o zdrowie jamy ustnej powinno być priorytetem, a regularne kontrole pozwalają na utrzymanie zdrowych dziąseł i zębów.
Oprócz regularnych wizyt, należy również zwracać uwagę na wszelkie niepokojące objawy, które mogą wymagać pilnej interwencji. Jeśli zauważysz zmiany w stanie zdrowia jamy ustnej, takie jak nagłe krwawienie dziąseł, intensywne bóle zębów, czy obrzęk dziąseł, powinieneś jak najszybciej zgłosić się do dentysty. Ignorowanie tych sygnałów może prowadzić do poważniejszych problemów zdrowotnych, takich jak infekcje czy utrata zębów. Wczesne działanie jest kluczowe dla zachowania zdrowia jamy ustnej.Regularne kontrole: Jak często odwiedzać stomatologa
Regularne wizyty u dentysty są niezbędne dla utrzymania zdrowia jamy ustnej. Eksperci zalecają, aby dorosłe osoby odwiedzały stomatologa przynajmniej co sześć miesięcy. Osoby z chorobami przyzębia lub innymi problemami zdrowotnymi mogą potrzebować częstszych wizyt. Regularne kontrole pozwalają na wczesne wykrycie problemów, takich jak ubytki czy zapalenie dziąseł, co może zapobiec ich pogłębieniu się. Dbanie o zdrowie jamy ustnej poprzez regularne wizyty jest kluczowe dla zachowania zdrowych dziąseł i zębów.
Objawy wymagające pilnej interwencji: Co powinno Cię zaniepokoić
Niekiedy mogą wystąpić objawy, które wymagają natychmiastowej uwagi dentysty. Jeśli doświadczasz silnego bólu zębów, krwawienia dziąseł lub obrzęku, niezwłocznie zgłoś się do specjalisty. Inne niepokojące objawy to trudności w przeżuwaniu, nieprzyjemny zapach z ust, a także zmiany w kolorze lub teksturze dziąseł. Ignorowanie tych sygnałów może prowadzić do poważnych komplikacji zdrowotnych, dlatego ważne jest, aby reagować na nie jak najszybciej.
Jak technologia zmienia przyszłość zdrowia dziąseł i zębów
W dzisiejszych czasach technologia odgrywa kluczową rolę w poprawie zdrowia jamy ustnej. Innowacyjne rozwiązania, takie jak inteligentne szczoteczki do zębów, które monitorują technikę szczotkowania i dostarczają informacji zwrotnych użytkownikom, mogą znacząco wpłynąć na efektywność codziennej pielęgnacji. Dzięki aplikacjom mobilnym, które współpracują z tymi urządzeniami, użytkownicy mogą uzyskać spersonalizowane porady dotyczące pielęgnacji, co sprzyja lepszemu zrozumieniu ich własnych potrzeb zdrowotnych.
Co więcej, rozwój technologii telemedycyny umożliwia łatwiejszy dostęp do konsultacji stomatologicznych, co jest szczególnie ważne dla osób z ograniczonym dostępem do opieki zdrowotnej. Dzięki telewizytom pacjenci mogą uzyskać porady dotyczące zdrowia dziąseł i zębów bez konieczności wychodzenia z domu. W miarę jak technologia będzie się rozwijać, możemy spodziewać się jeszcze bardziej zaawansowanych narzędzi i metod, które pomogą w zapobieganiu chorobom jamy ustnej i poprawie ogólnego stanu zdrowia. Warto być na bieżąco z tymi trendami, aby maksymalnie wykorzystać dostępne możliwości w dbaniu o zdrowie jamy ustnej.





