Kluczowe wnioski:
- Opuchlizna dziąsła może być spowodowana różnymi czynnikami, w tym infekcjami i złymi nawykami higienicznymi.
- Skuteczne domowe sposoby na złagodzenie opuchlizny to płukanki z soli, wody utlenionej oraz zimne okłady.
- Objawy wymagające pilnej wizyty u stomatologa to silny ból, gorączka oraz utrzymująca się opuchlizna.
- Regularna higiena jamy ustnej oraz zdrowa dieta są kluczowe w zapobieganiu problemom z dziąsłami.
- W przypadku braku poprawy, niezbędna może być konsultacja ze specjalistą w celu ustalenia przyczyny i zastosowania odpowiednich zabiegów.
Jak zmniejszyć opuchliznę dziąsła domowymi sposobami i szybko ulżyć
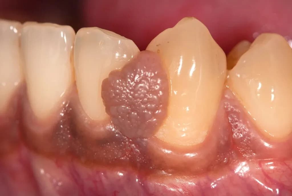
Opuchlizna dziąsła to uciążliwy problem, który może powodować dyskomfort oraz ból. Istnieje wiele domowych sposobów, które mogą pomóc w szybkim złagodzeniu tego stanu. Warto zacząć od poprawy higieny jamy ustnej, co może znacząco wpłynąć na zmniejszenie obrzęku. Oprócz tego, skuteczne są różne płukanki do jamy ustnej oraz zimne okłady, które przynoszą ulgę w bólu i zmniejszają obrzęk.Stosowanie domowych metod nie tylko przynosi ulgę, ale także może zapobiegać dalszym problemom zdrowotnym. W tym artykule przedstawimy skuteczne płukanki oraz inne metody, które pomogą w walce z opuchlizną dziąseł. Pamiętaj, że w przypadku braku poprawy, zawsze warto skonsultować się z dentystą.
Płukanki do jamy ustnej jako skuteczny sposób na obrzęk
Płukanki do jamy ustnej to jedna z najprostszych i najskuteczniejszych metod na zmniejszenie opuchlizny dziąseł. Działają one antybakteryjnie i przeciwzapalnie, co przyczynia się do szybszej regeneracji tkanek. Można wykorzystać różne składniki, takie jak sól, woda utleniona czy zioła, które mają właściwości kojące.
Oto kilka prostych przepisów na płukanki, które możesz łatwo przygotować w domu:
| Składnik | Przygotowanie i stosowanie | 
|---|---|
| Sól i woda | Rozpuść 1 łyżeczkę soli w szklance ciepłej wody. Płucz usta przez 30 sekund, powtarzaj 2-3 razy dziennie. | 
| Woda utleniona | Wymieszaj 1 część wody utlenionej z 2 częściami wody. Płucz usta przez 30 sekund, nie więcej niż 2 razy dziennie. | 
| Napar z szałwii | Zaparz 1 łyżkę szałwii w szklance wrzącej wody. Po ostudzeniu płucz usta 2-3 razy dziennie. | 
Zimne okłady: jak i kiedy je stosować dla ulgi
Zimne okłady to skuteczna metoda na zmniejszenie opuchlizny dziąsła i przynoszenie ulgi w bólu. Działają one poprzez zmniejszenie przepływu krwi do obszaru zapalnego, co pomaga w redukcji obrzęku oraz łagodzeniu dyskomfortu. Okłady można stosować w różnych sytuacjach, szczególnie gdy odczuwasz ból lub zauważasz opuchliznę w okolicy dziąseł. Ważne jest, aby aplikować je na krótki czas, aby uniknąć przemarznięcia tkanek.
Aby skutecznie stosować zimne okłady, należy przygotować je w odpowiedni sposób. Najlepiej używać czystego materiału, takiego jak ręcznik, który można zwilżyć zimną wodą lub użyć specjalnych kompresów, które można schłodzić w lodówce. Okład należy przykładać do policzka w okolicy opuchlizny przez około 15-20 minut, z przerwami na kilka minut pomiędzy aplikacjami. Warto powtarzać tę czynność kilka razy dziennie, aby uzyskać najlepsze rezultaty.
Objawy, które wymagają pilnej wizyty u stomatologa
Niektóre objawy związane z opuchlizną dziąseł mogą wskazywać na poważniejsze problemy zdrowotne, które wymagają natychmiastowej interwencji stomatologicznej. Silny ból w okolicy dziąseł lub zębów często oznacza, że może występować infekcja lub stan zapalny, który nie ustępuje. Gorączka to kolejny sygnał alarmowy, który może sugerować, że organizm walczy z infekcją, co wymaga oceny przez specjalistę. Utrzymująca się opuchlizna przez dłuższy czas, która nie reaguje na domowe metody leczenia, również powinna skłonić do wizyty u dentysty, aby uniknąć poważnych komplikacji.
W przypadku wystąpienia któregokolwiek z tych objawów, należy jak najszybciej udać się do stomatologa. Ignorowanie tych symptomów może prowadzić do poważniejszych problemów, takich jak ropnie, które mogą wymagać bardziej skomplikowanego leczenia. Wczesna interwencja jest kluczowa dla zapobiegania dalszym komplikacjom zdrowotnym.
- Silny ból - Może wskazywać na infekcję lub stan zapalny wymagający leczenia.
- Gorączka - Sygnał, że organizm walczy z infekcją, co wymaga oceny przez specjalistę.
- Utrzymująca się opuchlizna - Jeśli nie ustępuje, może oznaczać poważniejsze problemy zdrowotne.
Jakie zabiegi stomatologiczne mogą być potrzebne
W przypadku opuchlizny dziąseł, stomatolog może zalecić kilka różnych zabiegów w zależności od przyczyny problemu. Skaling poddziąsłowy to jedna z najczęstszych procedur, która polega na usunięciu kamienia nazębnego i płytki bakteryjnej, co pomaga w leczeniu zapaleń dziąseł. W niektórych przypadkach, gdy infekcja jest poważna, może być konieczne leczenie kanałowe, które polega na usunięciu zakażonej tkanki z wnętrza zęba. Dodatkowo, stomatolog może zalecić leki przeciwzapalne lub antybiotyki, aby pomóc w walce z infekcją.
Podczas tych zabiegów pacjent może odczuwać pewien dyskomfort, ale zazwyczaj są one przeprowadzane w znieczuleniu miejscowym, co minimalizuje ból. Po zabiegu, stomatolog przekaże instrukcje dotyczące pielęgnacji jamy ustnej oraz ewentualnych środków przeciwbólowych, które można stosować w celu złagodzenia dolegliwości. Ważne jest, aby stosować się do zaleceń specjalisty, aby przyspieszyć proces gojenia.
| Procedura | Cel | Czas rekonwalescencji | 
|---|---|---|
| Skaling poddziąsłowy | Usunięcie kamienia nazębnego i płytki bakteryjnej | 1-2 dni | 
| Leczenie kanałowe | Usunięcie zakażonej tkanki z zęba | 1-2 tygodnie | 

Prewencja opuchlizny dziąseł i utrzymanie zdrowia jamy ustnej
Utrzymanie zdrowia jamy ustnej jest kluczowe dla zapobiegania opuchliźnie dziąseł oraz innym problemom stomatologicznym. Odpowiednia higiena jamy ustnej polega na regularnym szczotkowaniu zębów co najmniej dwa razy dziennie oraz nitkowaniu, co pozwala na usunięcie resztek pokarmu i płytki nazębnej. Ważne jest również, aby używać miękkiej szczoteczki i pasty do zębów, szczególnie w przypadku wrażliwych dziąseł. Dbanie o zdrowie jamy ustnej nie tylko zapobiega opuchliźnie, ale także wspiera ogólne samopoczucie i zdrowie organizmu.
Oprócz higieny, dieta odgrywa istotną rolę w utrzymaniu zdrowia dziąseł. Spożywanie pokarmów bogatych w witaminy, minerały oraz błonnik wspiera układ odpornościowy i przyczynia się do zdrowia jamy ustnej. Warto unikać nadmiaru cukrów i przetworzonych produktów, które mogą prowadzić do powstawania próchnicy i stanów zapalnych. Poniżej przedstawiamy kilka przykładowych produktów, które korzystnie wpływają na zdrowie dziąseł.
- Jabłka - Wysoka zawartość błonnika i witamin wspiera zdrowie dziąseł.
- Marchew - Zawiera beta-karoten, który wspomaga regenerację tkanek.
- Jogurt naturalny - Źródło probiotyków, które wspierają zdrową florę bakteryjną w jamie ustnej.
- Orzechy - Bogate w zdrowe tłuszcze i minerały, które korzystnie wpływają na dziąsła.
- Szpinak - Zawiera witaminę K, która wspiera zdrowie kości i tkanek.
Znaczenie prawidłowej higieny jamy ustnej w zapobieganiu
Właściwa higiena jamy ustnej jest fundamentem zdrowia dziąseł. Szczotkowanie zębów powinno być wykonywane co najmniej dwa razy dziennie, a najlepiej po każdym posiłku. Ważne jest, aby używać techniki okrężnych ruchów, co pozwala na skuteczne usunięcie płytki nazębnej. Nitkowanie zębów przynajmniej raz dziennie jest równie istotne, ponieważ pozwala na dotarcie do miejsc, gdzie szczoteczka nie ma dostępu, zapobiegając powstawaniu stanów zapalnych.
Warto również regularnie wymieniać szczoteczkę do zębów co 3-4 miesiące oraz stosować pasty do zębów z fluorem, które wzmacniają szkliwo. Odpowiednie nawyki higieniczne mogą znacznie zmniejszyć ryzyko wystąpienia problemów z dziąsłami i przyczynić się do długotrwałego zdrowia jamy ustnej.
Dieta i nawyki żywieniowe wspierające zdrowe dziąsła
Odpowiednia dieta ma kluczowe znaczenie dla utrzymania zdrowia dziąseł i zapobiegania opuchliźnie dziąseł. Spożywanie pokarmów bogatych w witaminy, minerały i błonnik wspiera układ odpornościowy oraz przyczynia się do zdrowia jamy ustnej. Na przykład, owoce i warzywa, takie jak jabłka, marchew i brokuły, są doskonałym źródłem składników odżywczych, które wspierają zdrowe dziąsła. Dodatkowo, produkty bogate w witaminę C, takie jak cytrusy czy kiwi, pomagają w regeneracji tkanek i wzmacniają dziąsła. Warto także włączyć do diety nabiał, który dostarcza wapnia, niezbędnego dla zdrowia zębów i dziąseł.
Jednak nie wszystkie pokarmy są korzystne dla zdrowia jamy ustnej. Należy unikać produktów bogatych w cukry oraz przetworzonych przekąsek, które sprzyjają rozwojowi bakterii i próchnicy. Napojów gazowanych i słodkich soków również powinno się unikać, ponieważ mogą one prowadzić do erozji szkliwa i stanów zapalnych. Dobrze jest także ograniczyć spożycie alkoholu i papierosów, które negatywnie wpływają na zdrowie jamy ustnej. Poniżej przedstawiamy kilka produktów, które warto włączyć do diety, aby wspierać zdrowie dziąseł.
- Jabłka - Wysoka zawartość błonnika oraz witamin wspiera zdrowie dziąseł i zębów.
- Marchew - Zawiera beta-karoten, który wspomaga regenerację tkanek.
- Jogurt naturalny - Źródło probiotyków, które wspierają zdrową florę bakteryjną w jamie ustnej.
- Orzechy - Bogate w zdrowe tłuszcze i minerały, które korzystnie wpływają na dziąsła.
- Szpinak - Zawiera witaminę K, która wspiera zdrowie kości i tkanek.
Czytaj więcej: Skuteczne metody na afty na dziąśle - ulga i szybkie leczenie
Jak stres i styl życia wpływają na zdrowie dziąseł
Oprócz diety i higieny jamy ustnej, stres oraz ogólny styl życia mają znaczący wpływ na zdrowie dziąseł. Wysoki poziom stresu może prowadzić do problemów z układem odpornościowym, co z kolei zwiększa ryzyko wystąpienia stanów zapalnych i infekcji w jamie ustnej. Dlatego warto wprowadzić do swojego życia techniki relaksacyjne, takie jak medytacja czy joga, które mogą pomóc w redukcji stresu i poprawie ogólnego samopoczucia.
Również aktywny styl życia ma kluczowe znaczenie dla zdrowia dziąseł. Regularna aktywność fizyczna wspiera krążenie krwi, co sprzyja lepszemu dotlenieniu tkanek w jamie ustnej. Warto więc zadbać o to, aby codziennie znaleźć czas na ruch, czy to w postaci spaceru, jazdy na rowerze, czy treningu siłowego. Wprowadzenie tych zmian w życie może znacząco wpłynąć na zdrowie dziąseł oraz ogólną kondycję organizmu.





