Piaskowanie zębów to skuteczny zabieg higienizacyjny, który pozwala przywrócić naturalny blask Twojego uśmiechu i zadbać o zdrowie jamy ustnej. Jeśli zastanawiasz się nad jego wykonaniem, kluczowe jest poznanie efektów, jakie można osiągnąć. Analiza zdjęć "przed i po" piaskowaniu zębów dostarcza najlepszych dowodów na jego skuteczność i pozwala podjąć świadomą decyzję o tym, czy jest to zabieg dla Ciebie.
Piaskowanie zębów: Skuteczny sposób na gładki, jaśniejszy uśmiech i zdrowe dziąsła
- Usuwa osady, płytkę nazębną i powierzchowne przebarwienia.
- Widocznie rozjaśnia uśmiech i przywraca naturalny kolor zębów.
- Zabieg jest zazwyczaj bezbolesny i trwa od 15 do 30 minut.
- Zmniejsza ryzyko próchnicy i chorób dziąseł.
- Wymaga przestrzegania "białej diety" przez 24-48 godzin po zabiegu.
- Koszt piaskowania w 2026 roku waha się od 150 do 300 zł.

Twój uśmiech przed i po: Zobacz prawdziwą metamorfozę dzięki piaskowaniu
Wizualne dowody skuteczności: Zdjęcia pacjentów, które mówią same za siebie
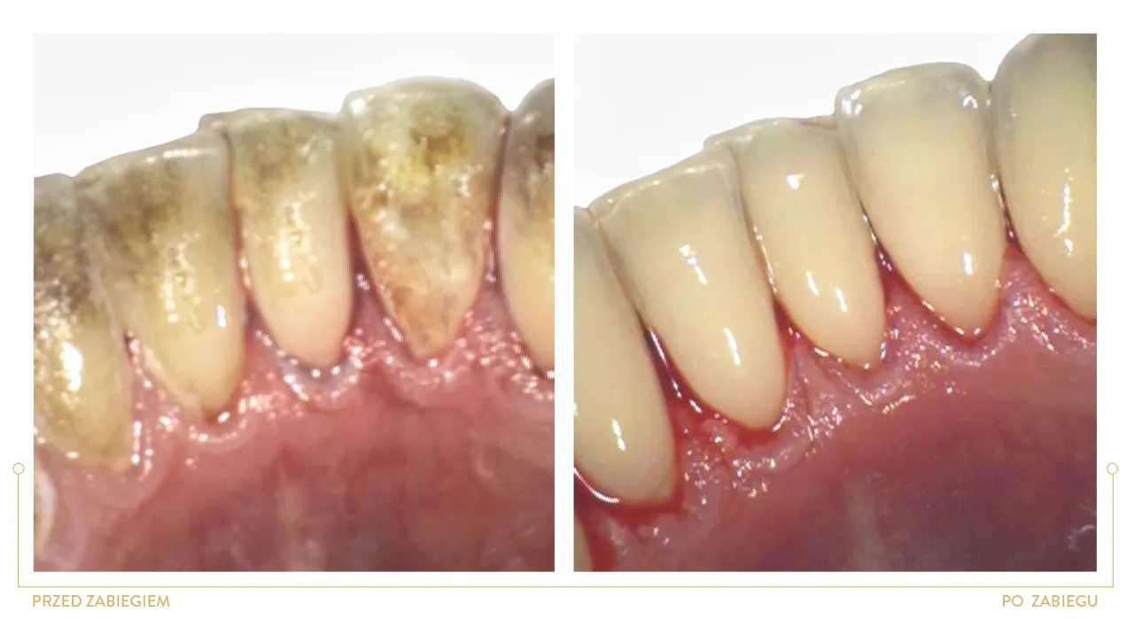
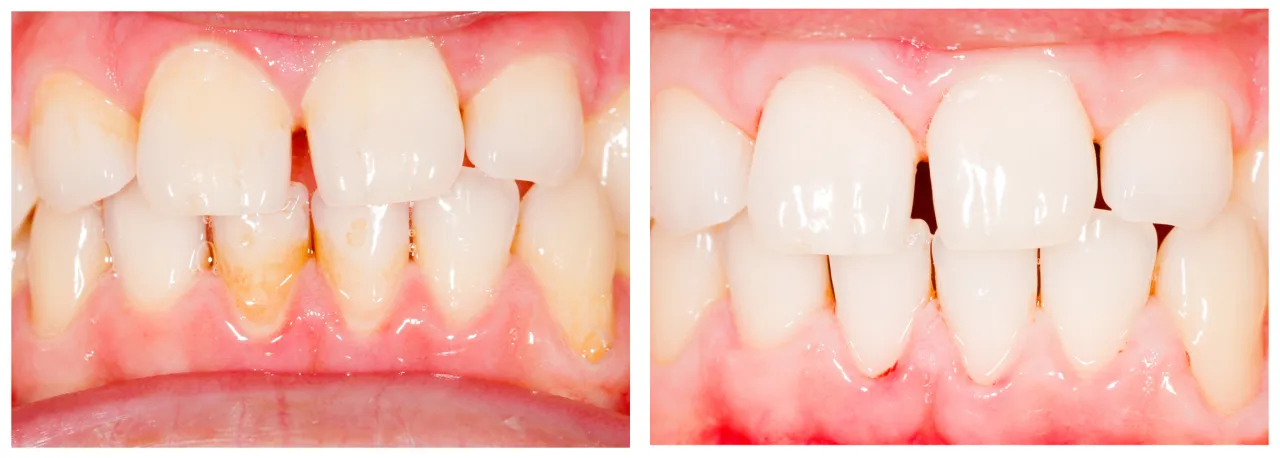
Szukając informacji o piaskowaniu zębów, z pewnością natrafisz na zdjęcia porównujące stan uzębienia "przed" i "po" zabiegu. To właśnie te wizualne dowody najlepiej ilustrują, jak skutecznie można pozbyć się uporczywych osadów, nalotów i powierzchownych przebarwień, które szpecą Twój uśmiech. Wyobraź sobie, jak Twoje zęby odzyskują gładkość i naturalny, jaśniejszy odcień właśnie takie transformacje pokazują zdjęcia "przed i po".
Czego dokładnie możesz się spodziewać? Opis efektu "wow" krok po kroku
Efekt piaskowania zębów jest często opisywany jako "wow", i nie bez powodu. Już po jednym zabiegu zobaczysz znaczącą różnicę. Natychmiastowo znikają przebarwienia spowodowane przez kawę, herbatę, czerwone wino czy papierosy. Twoje zęby stają się wyraźnie jaśniejsze, odzyskując swój pierwotny, naturalny kolor. Co więcej, powierzchnia zębów staje się idealnie gładka i lśniąca, co nie tylko poprawia estetykę, ale także zapobiega szybszemu osadzaniu się nowych nalotów.
Czy piaskowanie wybiela zęby? Prawda o rozjaśnieniu uśmiechu
To częste pytanie, które warto wyjaśnić. Piaskowanie zębów nie jest zabiegiem wybielającym w sensie chemicznym, który zmienia genetyczny odcień Twojego szkliwa. Jego głównym zadaniem jest usunięcie wszelkich osadów i przebarwień zewnętrznych. W efekcie tego procesu zęby odzyskują swój naturalny kolor, który mógł być przyciemniony przez lata nagromadzone naloty. Można więc mówić o rozjaśnieniu uśmiechu, ale nie o zmianie jego bazowego odcienia. Prawda jest taka, że piaskowanie przywraca zębom ich pierwotne piękno, usuwając to, co je szpeciło.

Na czym naprawdę polega piaskowanie zębów? Odsłaniamy kulisy zabiegu
Piaskarka w akcji: Jak strumień wody i piasku odmienia Twój uśmiech?
Zabieg piaskowania zębów odbywa się przy użyciu specjalnego urządzenia zwanego piaskarką. Działa ona na zasadzie wyrzucania pod ciśnieniem strumienia wody, powietrza i drobnoziarnistego proszku stomatologicznego. Ten specjalny "piasek" jest zazwyczaj na bazie wodorowęglanu sodu lub erytrytolu. W kontakcie z powierzchnią zębów, strumień ten skutecznie usuwa miękkie osady, płytkę bakteryjną oraz powierzchowne przebarwienia, jednocześnie delikatnie polerując szkliwo. To precyzyjne działanie pozwala dotrzeć nawet do trudno dostępnych miejsc.
Czy piaskowanie zębów boli? Realne odczucia pacjentów
Większość pacjentów określa piaskowanie zębów jako zabieg bezbolesny. Strumień wody i proszku jest odczuwany jako delikatne szczypanie lub masaż. Jednakże, osoby zmagające się z nadwrażliwością zębów lub odsłoniętymi szyjkami zębowymi mogą odczuwać chwilowy, lekki dyskomfort. Ważne jest, aby podkreślić, że prawidłowo przeprowadzony zabieg, wykonywany przez doświadczonego stomatologa lub higienistkę, nie uszkadza szkliwa ani nie powoduje jego ścierania. Jeśli odczuwasz większy dyskomfort, zawsze warto poinformować o tym osobę wykonującą zabieg.
Ile czasu musisz zarezerwować? Przebieg wizyty w pigułce
Wizyta w gabinecie stomatologicznym na zabieg piaskowania zębów nie zajmie Ci wiele czasu. Cała procedura zazwyczaj trwa od 15 do maksymalnie 30 minut. Po krótkim wywiadzie i ewentualnym przygotowaniu, stomatolog przystępuje do piaskowania. Po zakończeniu zabiegu można od razu wrócić do codziennych czynności, choć zaleca się przestrzeganie kilku prostych wskazówek dotyczących diety.
Dlaczego gładkie zęby to zdrowe zęby? Korzyści, o których mogłeś nie wiedzieć
Pożegnaj osad i bakterie: Jak piaskowanie chroni przed próchnicą?
Gładka powierzchnia zęba to raj dla bakterii, które łatwo się na niej gromadzą, tworząc tzw. biofilm bakteryjny. Ten biofilm jest główną przyczyną próchnicy. Piaskowanie skutecznie usuwa nie tylko widoczne osady i przebarwienia, ale także tę niewidoczną warstwę bakteryjną. Eliminując ją, znacząco zmniejszasz ryzyko rozwoju próchnicy. To dlatego piaskowanie jest tak ważnym elementem profilaktyki stomatologicznej pomaga utrzymać Twoje zęby w zdrowiu na dłużej.
Zdrowsze dziąsła bez wysiłku: Rola piaskowania w profilaktyce stanów zapalnych
Nagromadzone osady i płytka bakteryjna to nie tylko zagrożenie dla zębów, ale także dla dziąseł. Mogą one prowadzić do stanów zapalnych, takich jak zapalenie dziąseł (gingivitis), które objawia się zaczerwienieniem, obrzękiem i krwawieniem. Piaskowanie, usuwając te drażniące czynniki, przyczynia się do poprawy zdrowia dziąseł. Regularne poddawanie się temu zabiegowi pomaga zapobiegać chorobom przyzębia, zapewniając zdrowszy i bardziej komfortowy uśmiech. To prosta procedura, która przynosi znaczące korzyści dla całego Twojego uzębienia.
Piaskowanie, skaling, a może wybielanie? Wyjaśniamy, co wybrać
Skaling kontra piaskowanie: Czym się różnią i dlaczego często idą w parze?
Często pojawia się pytanie o różnicę między skalingiem a piaskowaniem. Choć oba zabiegi służą higienie jamy ustnej, mają nieco inne zadania. Skaling polega na mechanicznym usuwaniu twardego kamienia nazębnego, który tworzy się zmineralizowanej płytki bakteryjnej, zazwyczaj w okolicach szyjek zębowych i między zębami. Piaskowanie natomiast skupia się na usuwaniu miękkich osadów, nalotów i powierzchownych przebarwień. Z tego względu, te dwa zabiegi często wykonuje się razem w ramach kompleksowej higienizacji, ponieważ wzajemnie się uzupełniają i pozwalają uzyskać najlepsze rezultaty.
Piaskowanie a chemiczne wybielanie: Kiedy potrzebujesz usunąć osad, a kiedy zmienić kolor zębów?
Kluczowa różnica między piaskowaniem a wybielaniem polega na celu i mechanizmie działania. Piaskowanie, jak już wiemy, usuwa zewnętrzne przebarwienia i osady, przywracając zębom ich naturalny, jaśniejszy odcień. Nie zmienia on jednak genetycznego koloru szkliwa. Wybielanie natomiast, zazwyczaj chemiczne, działa głębiej, zmieniając wewnętrzną strukturę szkliwa i tym samym trwale rozjaśniając zęby o kilka tonów. Jeśli Twoje zęby są po prostu przyciemnione przez osady, piaskowanie będzie idealnym rozwiązaniem. Jeśli jednak marzysz o znacząco jaśniejszym uśmiechu, niezależnie od obecności nalotów, warto rozważyć profesjonalne wybielanie.
Kto jest idealnym kandydatem do piaskowania, a kto powinien go unikać?
Jesteś kawoszem lub palaczem? Sprawdź, dlaczego to zabieg dla Ciebie
Jeśli Twoja codzienna rutyna obejmuje kawę, herbatę, czerwone wino, a może jesteś palaczem, piaskowanie zębów jest zabiegiem stworzonym właśnie dla Ciebie. Te popularne używki i nawyki niestety pozostawiają na zębach uporczywe przebarwienia i osady, które nie tylko szpecą uśmiech, ale także sprzyjają rozwojowi bakterii. Piaskowanie skutecznie usuwa te naloty, przywracając zębom ich naturalną biel i gładkość. To doskonały sposób na odzyskanie pewności siebie i pięknego uśmiechu.
Aparat ortodontyczny a piaskowanie: Klucz do idealnej higieny
Dla osób noszących aparat ortodontyczny utrzymanie idealnej higieny jamy ustnej bywa sporym wyzwaniem. Trudno dostępne miejsca między zamkami, łukami i zębami stają się idealnym siedliskiem dla bakterii i miejscem gromadzenia się osadów. Piaskowanie jest w tym przypadku nieocenioną pomocą. Pozwala ono dotrzeć do wszystkich zakamarków i skutecznie oczyścić powierzchnię zębów, zapobiegając próchnicy i stanom zapalnym dziąseł, które są częstym problemem u pacjentów ortodontycznych. Regularne piaskowanie to klucz do zdrowego uśmiechu w trakcie leczenia ortodontycznego.
Najważniejsze przeciwwskazania: Kiedy należy wstrzymać się z zabiegiem?
Choć piaskowanie jest zabiegiem bezpiecznym i powszechnie polecanym, istnieją pewne sytuacje, w których należy go unikać lub skonsultować się ze stomatologiem przed jego wykonaniem. Do głównych przeciwwskazań należą:
- Aktywne stany zapalne lub rany w jamie ustnej, takie jak opryszczka, aftowe zapalenie jamy ustnej.
- Alergia na którykolwiek ze składników proszku do piaskowania, najczęściej sodę oczyszczoną lub erytrytol.
- Niektóre choroby układu oddechowego, zwłaszcza astma oskrzelowa, ze względu na ryzyko wdychaniu drobinek proszku.
- Ciężkie choroby układu pokarmowego, takie jak wrzody żołądka czy dwunastnicy, w fazie ostrej.
W przypadku wątpliwości zawsze warto porozmawiać ze swoim dentystą, który oceni, czy piaskowanie jest dla Ciebie bezpieczne.
Jak utrzymać efekt na dłużej? Kluczowe zalecenia po zabiegu
Tajemnica "białej diety": Czego unikać przez pierwsze 48 godzin?
Bezpośrednio po zabiegu piaskowania Twoje zęby są idealnie czyste i lekko "matowe", co sprawia, że są bardziej podatne na przebarwienia. Aby utrzymać uzyskany efekt jak najdłużej, kluczowe jest przestrzeganie tzw. "białej diety" przez co najmniej 24 do 48 godzin. Oznacza to unikanie produktów i napojów, które mogą łatwo zabarwić szkliwo. Należą do nich:
- Kawa i herbata (czarna, zielona).
- Czerwone wino.
- Soki owocowe o intensywnym kolorze (np. z jagód, wiśni).
- Buraki i inne barwiące warzywa.
- Sos sojowy, curry.
- Palenie papierosów.
Zaleca się również powstrzymanie od jedzenia i picia przez około 2-3 godziny bezpośrednio po zabiegu.
Nowe nawyki, długotrwały blask: Pielęgnacja domowa po piaskowaniu
Utrzymanie efektów piaskowania to nie tylko kwestia diety po zabiegu, ale także regularnej i prawidłowej higieny jamy ustnej na co dzień. Pamiętaj o dokładnym szczotkowaniu zębów co najmniej dwa razy dziennie, najlepiej miękką szczoteczką i pastą z fluorem. Niezwykle ważne jest codzienne stosowanie nici dentystycznej lub irygatora, aby usunąć resztki jedzenia i płytkę bakteryjną z przestrzeni międzyzębowych, do których szczoteczka nie dociera. Regularne wizyty kontrolne u stomatologa oraz profesjonalne czyszczenie co 6-12 miesięcy pomogą zachować Twój uśmiech w doskonałej kondycji.
Jak często powtarzać zabieg, aby uśmiech zachwycał przez cały rok?
Piaskowanie zębów jest zabiegiem o charakterze profilaktycznym i estetycznym, dlatego zaleca się jego powtarzanie co około 6 do 12 miesięcy. Częstotliwość ta może być nieco większa u osób, które spożywają dużo kawy, herbaty, wina lub palą papierosy, a także u tych, u których występuje tendencja do szybkiego odkładania się kamienia nazębnego. Twój stomatolog lub higienistka stomatologiczna najlepiej oceni, jak często powinieneś poddawać się piaskowaniu, aby Twój uśmiech pozostawał olśniewający przez cały rok.
Ile kosztuje olśniewający uśmiech? Analiza cen piaskowania w 2026 roku
Cena za pojedynczy zabieg: Na jaki wydatek się przygotować?
Inwestycja w zdrowy i piękny uśmiech jest zawsze warta swojej ceny. W 2026 roku koszt piaskowania obu łuków zębowych w Polsce mieści się zazwyczaj w przedziale od 150 do 300 złotych. Cena ta może się nieznacznie różnić w zależności od lokalizacji gabinetu, jego renomy oraz użytych materiałów. Pamiętaj, że jest to koszt zabiegu, który przynosi natychmiastowe efekty estetyczne i długoterminowe korzyści zdrowotne dla Twojej jamy ustnej.
Przeczytaj również: Jak długo może boleć po wyrwaniu zęba? Sprawdź, co jest normalne
Pakiety higienizacyjne (skaling + piaskowanie): Czy to się opłaca?
Wiele gabinetów stomatologicznych oferuje kompleksowe pakiety higienizacyjne, które obejmują nie tylko piaskowanie, ale także skaling (usunięcie kamienia nazębnego), polerowanie zębów oraz fluoryzację. Taki pakiet, często wyceniany w przedziale 250-450 złotych, jest zazwyczaj bardziej opłacalny niż wykonywanie poszczególnych zabiegów osobno. Zapewnia on pełne oczyszczenie i ochronę zębów, przynosząc najlepsze rezultaty estetyczne i zdrowotne. Wybierając pakiet, masz pewność, że Twoje zęby są kompleksowo zadbane.
Podsumowanie: Klucz do zdrowego i pięknego uśmiechu
Piaskowanie zębów to zabieg, który oferuje znacznie więcej niż tylko poprawę estetyki. To inwestycja w zdrowie Twojej jamy ustnej, która pozwala cieszyć się gładkimi, naturalnie białymi zębami i zdrowymi dziąsłami. Usuwając osady i przebarwienia, zmniejszasz ryzyko próchnicy i chorób przyzębia, a efekt "wow" widoczny od razu po zabiegu dodaje pewności siebie. Jeśli pragniesz olśniewającego uśmiechu, który będzie jednocześnie zdrowy i zadbany, piaskowanie z pewnością jest krokiem we właściwym kierunku.
