Bolesna ranka na dziąśle często budzi niepokój, ale zanim sięgniesz po radykalne rozwiązania, warto zrozumieć, czym jest i jak sobie z nią radzić. Ten artykuł pomoże Ci rozpoznać, czy to nadżerka, poznać jej przyczyny i wybrać najskuteczniejszą metodę leczenia od domowych sposobów po preparaty dostępne w aptece. Podpowiemy również, kiedy wizyta u specjalisty jest absolutnie konieczna, abyś mógł czuć się bezpiecznie i pewnie w dbaniu o zdrowie swojej jamy ustnej.
Nadżerka na dziąśle – jak ją rozpoznać i skutecznie leczyć
- Nadżerka to powierzchowny ubytek nabłonka, który goi się bez blizn, objawiający się jako bolesna, czerwona plamka.
- Główne przyczyny to urazy mechaniczne (szczotkowanie, aparat), niedobory witamin, stres oraz składniki past do zębów (SLS).
- W leczeniu pomagają płukanki ziołowe, unikanie drażniących pokarmów oraz apteczne żele i maści.
- Jeśli zmiana nie goi się w ciągu 14 dni, jest bardzo bolesna lub nawraca, konieczna jest konsultacja ze stomatologiem.
- Zapobieganie opiera się na prawidłowej higienie jamy ustnej i odpowiedniej diecie.

Bolesna ranka na dziąśle? Sprawdź, czy to nadżerka i jak sobie z nią poradzić
Każda niepokojąca zmiana w jamie ustnej może wywoływać obawy. Bolesna ranka na dziąśle to częsty problem, który może utrudniać codzienne funkcjonowanie. Ważne jest, aby wiedzieć, jak ją zidentyfikować i jak postępować, aby jak najszybciej poczuć ulgę i przywrócić komfort.
Jak rozpoznać nadżerkę? Kluczowe objawy, które odczuwasz i widzisz
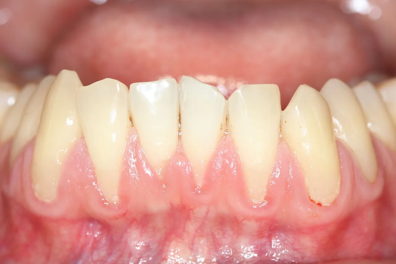
Nadżerka na dziąśle to powierzchowny ubytek nabłonka błony śluzowej. Dobra wiadomość jest taka, że w przeciwieństwie do głębszych ran, goi się ona zazwyczaj bez pozostawiania blizn. Jak ją rozpoznać? Najczęściej objawia się jako niewielka, ale bardzo bolesna, czerwona plamka na dziąśle. Z czasem może pojawić się na niej białawy lub żółty nalot, a całość otacza zaczerwieniona, zapalna obwódka. Charakterystyczny, ostry ból jest jednym z najbardziej uciążliwych objawów, który nasila się podczas jedzenia, picia czy nawet mówienia.
Nadżerka, afta czy owrzodzenie – czym się różnią i dlaczego to ważne?
Często mylimy nadżerki z innymi zmianami w jamie ustnej, takimi jak afty czy owrzodzenia. Rozróżnienie jest kluczowe, ponieważ wpływa na sposób leczenia i ocenę powagi problemu. Jak już wspomniałam, nadżerka to powierzchowny ubytek nabłonka, który goi się bez blizn. Afty są zazwyczaj bardziej okrągłe lub owalne, również bolesne, często z charakterystycznym białym lub żółtym środkiem i czerwoną obwódką. Mogą występować pojedynczo lub w grupach. Owrzodzenia są natomiast głębszymi ubytkami, które mogą pozostawiać blizny i wymagają innej interwencji. Właściwa diagnoza pozwala dobrać odpowiednią terapię i uniknąć niepotrzebnego stresu.

Dlaczego właśnie u Ciebie pojawiła się nadżerka? Poznaj najczęstsze przyczyny
Zrozumienie, co spowodowało pojawienie się nadżerki, jest pierwszym krokiem do skutecznego leczenia i zapobiegania jej nawrotom. Przyczyny mogą być różne od błędów w codziennej higienie po sygnały wysyłane przez nasz organizm.
Codzienna higiena pod lupą: Czy Twoja szczoteczka i pasta Ci szkodzą?
Nasze codzienne nawyki związane z higieną jamy ustnej mają ogromny wpływ na stan dziąseł. Zbyt intensywne szczotkowanie zębów, zwłaszcza twardą szczoteczką, może mechanicznie uszkadzać delikatną błonę śluzową, prowadząc do powstawania nadżerek. Niektóre składniki past do zębów, takie jak SLS (Sodium Lauryl Sulfate), mogą działać drażniąco i wysuszać śluzówkę, czyniąc ją bardziej podatną na uszkodzenia. Warto zwrócić uwagę na to, jakich produktów używamy i czy nasza technika szczotkowania jest odpowiednia.
Urazy mechaniczne: aparat ortodontyczny, proteza i twarde jedzenie jako źródło problemu
Mechaniczne uszkodzenia to jedna z najczęstszych przyczyn powstawania nadżerek. Aparat ortodontyczny, nawet ten dobrze dopasowany, może powodować otarcia i podrażnienia. Podobnie źle dopasowana proteza dentystyczna może uciskać i ranić dziąsła. Nawet codzienne jedzenie, jeśli jest zbyt twarde, chrupiące lub zawiera ostre elementy (jak np. chipsy czy skórka od chleba), może prowadzić do mikrourazów, które z czasem przeradzają się w bolesne nadżerki.
Gdy problem leży głębiej: niedobory witamin, stres i choroby ogólnoustrojowe
Czasami nadżerki są sygnałem, że w naszym organizmie dzieje się coś więcej. Niedobory witamin, zwłaszcza z grupy B, kwasu foliowego, a także żelaza, mogą osłabiać błonę śluzową i utrudniać jej regenerację. Przewlekły stres obniża naszą odporność, co również może sprzyjać powstawaniu zmian w jamie ustnej. Nie można też wykluczyć alergii czy ogólnoustrojowych chorób, które mogą manifestować się problemami w obrębie dziąseł.

Jak skutecznie i bezpiecznie wyleczyć nadżerkę na dziąśle? Twój plan działania
Gdy już wiemy, czym jest nadżerka i jakie mogą być jej przyczyny, czas na konkretne działania. Na szczęście istnieje wiele sposobów, aby złagodzić ból i przyspieszyć gojenie, zarówno dzięki naturze, jak i produktom dostępnym w aptece.
Natychmiastowa ulga w bólu: Sprawdzone domowe sposoby i ziołowe płukanki
- Płukanki z szałwii: Szałwia ma silne właściwości antyseptyczne i przeciwzapalne. Przygotuj napar z suszonej szałwii, ostudź i płucz jamę ustną kilka razy dziennie.
- Płukanki z rumianku: Rumianek działa łagodząco i przeciwzapalnie, przyspieszając regenerację tkanek. Podobnie jak w przypadku szałwii, przygotuj napar i używaj do płukania.
- Zimne okłady: Przyłożenie zimnego kompresu (np. z woreczkiem lodu owiniętym w ściereczkę) na policzek w okolicy zmienionego miejsca może pomóc zmniejszyć obrzęk i złagodzić ból.
- Unikanie drażniących pokarmów: W trakcie leczenia unikaj potraw i napojów, które mogą podrażniać nadżerkę są to przede wszystkim pokarmy kwaśne, ostre, gorące lub bardzo słone.
Co kupić w aptece bez recepty? Żele, płyny i preparaty, które przyspieszają gojenie
- Żele i maści ochronne: W aptekach znajdziesz wiele preparatów w formie żelu lub maści, które tworzą na nadżerce warstwę ochronną. Zapobiega to dalszym podrażnieniom i tworzy optymalne środowisko do gojenia. Szukaj produktów z kwasem hialuronowym, aloesem lub pantenolem.
- Płyny do płukania jamy ustnej z chlorheksydyną (w niskim stężeniu): Chlorheksydyna ma silne działanie antybakteryjne. W niskich stężeniach (0,1-0,12%) jest bezpieczna do krótkotrwałego stosowania i może pomóc w utrzymaniu higieny oraz zapobieganiu infekcjom w miejscu nadżerki.
- Preparaty z lidokainą: Jeśli ból jest bardzo silny, możesz sięgnąć po preparaty zawierające niewielką ilość lidokainy, która działa miejscowo znieczulająco. Stosuj je ostrożnie i zgodnie z zaleceniami.
Dieta na czas leczenia – czego unikać, by nie pogarszać stanu zapalnego?
Dieta odgrywa niebagatelną rolę w procesie leczenia nadżerek. Aby nie pogarszać stanu zapalnego i nie utrudniać gojenia, kluczowe jest unikanie pewnych produktów. Przede wszystkim należy zrezygnować z potraw i napojów, które są kwaśne (cytrusy, ocet, niektóre owoce), ostre (papryka, chili, przyprawy), gorące (zupy, gorące napoje) lub bardzo słone. Zamiast tego, skup się na spożywaniu pokarmów o neutralnym smaku, które są miękkie i łatwe do pogryzienia. Letnie zupy krem, gotowane warzywa, delikatne mięso czy ryby będą doskonałym wyborem. Pamiętaj, że odpowiednie odżywianie wspiera cały organizm w procesie regeneracji.

Kiedy domowe sposoby to za mało? Sygnały alarmowe, których nie wolno ignorować
Chociaż wiele nadżerek goi się samoistnie przy odpowiedniej pielęgnacji, istnieją sytuacje, w których domowe metody okazują się niewystarczające, a wizyta u specjalisty staje się koniecznością. Nie lekceważ sygnałów, które wysyła Twój organizm.
Zasada 14 dni: Dlaczego niegojąca się ranka wymaga wizyty u stomatologa?
Jedną z najważniejszych zasad, o której warto pamiętać, jest tzw. zasada 14 dni. Jeśli nadżerka nie zaczyna goić się i znikać w ciągu dwóch tygodni, jest to wyraźny sygnał alarmowy. Taka zmiana może wymagać profesjonalnej oceny stomatologa, ponieważ może wskazywać na głębszy problem, nieprawidłową diagnozę lub po prostu potrzebę zastosowania silniejszych środków leczniczych. Inne sygnały, które powinny skłonić Cię do natychmiastowej wizyty u lekarza, to: niezwykle silny, nieustępujący ból, częste nawracanie problemu, powiększanie się zmiany, a także towarzyszące objawy ogólne, takie jak gorączka czy powiększone węzły chłonne.
Jak wygląda wizyta u specjalisty? Diagnostyka i profesjonalne metody leczenia nadżerek
Wizyta u stomatologa w przypadku problemów z nadżerkami zazwyczaj rozpoczyna się od szczegółowego wywiadu. Lekarz zapyta o Twój ogólny stan zdrowia, przyjmowane leki, nawyki żywieniowe i higieniczne. Następnie przeprowadzi dokładne badanie jamy ustnej, oceniając wielkość, głębokość i wygląd zmiany. W niektórych przypadkach może zlecić dodatkowe badania, aby wykluczyć inne schorzenia. Profesjonalne metody leczenia, które może zaproponować stomatolog, obejmują między innymi przepisywanie silniejszych leków przeciwzapalnych lub antyseptycznych, zastosowanie specjalnych preparatów przyspieszających gojenie dostępnych na receptę, a w rzadkich przypadkach drobne zabiegi wspomagające regenerację tkanki. Jeśli istnieje podejrzenie, że przyczyną problemu są choroby ogólnoustrojowe, lekarz może skierować Cię do innych specjalistów.
Zapobiegaj zamiast leczyć: Jak na stałe pozbyć się problemu nawracających nadżerek?
Najlepszym sposobem na walkę z nadżerkami jest ich zapobieganie. Długoterminowa profilaktyka, oparta na zdrowych nawykach i odpowiedniej pielęgnacji, pozwoli Ci cieszyć się zdrową jamą ustną i uniknąć nieprzyjemnych dolegliwości.
Złote zasady higieny dla wrażliwych dziąseł – technika i dobór produktów
- Delikatna technika szczotkowania: Zapomnij o mocnym szorowaniu. Stosuj delikatne, okrężne lub wymiatające ruchy, aby dokładnie oczyścić zęby i dziąsła, nie powodując podrażnień.
- Miękkie włosie szczoteczki: Wybieraj szczoteczki z miękkim lub bardzo miękkim włosiem. Są one równie skuteczne w usuwaniu płytki nazębnej, ale znacznie łagodniejsze dla dziąseł.
- Pasta bez SLS: Postaw na pasty do zębów o łagodnym składzie, najlepiej bez SLS (Sodium Lauryl Sulfate), które mogą wysuszać i podrażniać śluzówkę.
- Nici dentystyczne i płyny: Regularne używanie nici dentystycznej pozwala oczyścić przestrzenie międzyzębowe, do których nie dociera szczoteczka. Płyny do płukania jamy ustnej bez alkoholu mogą dodatkowo odświeżyć oddech i wspomóc higienę.
Przeczytaj również: Jak przyspieszyć gojenie dziąsła po wyrwaniu zęba i uniknąć bólu
Dieta i suplementacja: Jak wzmocnić błonę śluzową jamy ustnej od wewnątrz?
Zdrowie jamy ustnej zaczyna się od wewnątrz. Zadbaj o dietę bogatą w składniki odżywcze, które wzmocnią Twoją błonę śluzową. Szczególnie ważne są witaminy z grupy B oraz kwas foliowy, które odgrywają kluczową rolę w regeneracji tkanek. Nie zapominaj o żelazie, którego niedobory mogą prowadzić do osłabienia śluzówki. Włącz do swojego jadłospisu produkty takie jak zielone warzywa liściaste, pełnoziarniste produkty zbożowe, chude mięso, ryby i nabiał. W przypadku stwierdzonych niedoborów, po konsultacji z lekarzem, możesz rozważyć suplementację.
