Ból dziąseł to problem, który dotyka wielu osób i może być źródłem znacznego dyskomfortu. Najczęściej wynika on ze stanu zapalnego, który jest spowodowany nagromadzeniem płytki nazębnej, niewłaściwym szczotkowaniem zębów lub innymi czynnikami. Warto zrozumieć, jakie są przyczyny bólu dziąseł oraz jakie objawy powinny nas zaniepokoić, aby móc skutecznie zadbać o swoje zdrowie jamy ustnej.
W artykule przedstawimy różnorodne czynniki, które mogą prowadzić do bólu dziąseł, a także skuteczne metody leczenia i zapobiegania tym dolegliwościom. Wiedza na ten temat może pomóc w uniknięciu poważniejszych problemów zdrowotnych, takich jak utrata zębów czy inne powikłania.Najważniejsze informacje:
- Ból dziąseł może być spowodowany stanem zapalnym, urazami mechanicznymi lub chorobami ogólnoustrojowymi.
- Objawy towarzyszące bólowi dziąseł, takie jak krwawienie i obrzęk, mogą wskazywać na poważniejsze problemy zdrowotne.
- Skuteczne metody leczenia bólu dziąseł obejmują zarówno domowe sposoby, jak i wizyty u dentysty.
- Zapobieganie bólowi dziąseł polega na prawidłowej higienie jamy ustnej oraz odpowiedniej diecie.
Przyczyny bólu dziąseł: Zrozumienie źródeł dyskomfortu
Ból dziąseł może być wynikiem wielu różnych czynników. Najczęściej jest spowodowany stanem zapalnym, który występuje, gdy na zębach gromadzi się płytka nazębna. Jeżeli nie jest ona regularnie usuwana, może prowadzić do podrażnienia dziąseł oraz ich zapalenia. Warto zrozumieć, że nieprawidłowe szczotkowanie zębów czy używanie zbyt twardej szczoteczki również przyczyniają się do tego problemu. Dlatego tak istotne jest dbanie o odpowiednią higienę jamy ustnej.Innym czynnikiem wywołującym ból dziąseł są mechaniczne urazy. Mogą one wystąpić w wyniku przypadkowego uderzenia, rozcięcia lub oparzenia gorącym pokarmem. Takie urazy mogą prowadzić do podrażnienia tkanek dziąseł, co skutkuje dyskomfortem. Warto również zwrócić uwagę na źle dopasowane protezy zębowe czy aparaty ortodontyczne, które mogą powodować dodatkowy ból i dyskomfort w jamie ustnej.
Oprócz stanów zapalnych i urazów mechanicznych, choroby ogólnoustrojowe mogą również wpływać na zdrowie dziąseł. Przykłady to cukrzyca, choroby autoimmunologiczne, a także zmiany hormonalne, które mogą występować w czasie ciąży. Te schorzenia mogą prowadzić do osłabienia odporności organizmu, co sprzyja rozwojowi stanów zapalnych w jamie ustnej. Dlatego ważne jest, aby osoby cierpiące na takie choroby regularnie kontrolowały stan swoich dziąseł i zębów.
Stan zapalny dziąseł: Jak płytka nazębna wpływa na ból
Płytka nazębna to miękka, lepką substancja, która gromadzi się na zębach. Jeżeli nie jest usuwana, twardnieje i przekształca się w kamień nazębny, co prowadzi do zapalenia dziąseł. Stan zapalny objawia się zaczerwienieniem, obrzękiem oraz bólem. W miarę postępu choroby, może pojawić się krwawienie podczas szczotkowania zębów. Dlatego tak ważne jest, aby regularnie dbać o higienę jamy ustnej i usuwać płytkę nazębną.Urazy mechaniczne: Co może wywołać ból dziąseł?
Urazy mechaniczne to kolejny istotny czynnik powodujący ból dziąseł. Mogą one wystąpić na skutek różnych sytuacji, takich jak przypadkowe uderzenia w twarz, które prowadzą do uszkodzenia tkanek dziąseł. Innym przykładem są oparzenia spowodowane gorącym jedzeniem lub napojami. Warto także zwrócić uwagę na podrażnienia spowodowane niewłaściwie dopasowanymi protezami lub aparatami ortodontycznymi, które mogą powodować dyskomfort i ból w obrębie jamy ustnej.
Choroby ogólnoustrojowe: Jak wpływają na zdrowie jamy ustnej
Choroby ogólnoustrojowe mogą znacząco wpływać na zdrowie jamy ustnej, w tym na dziąsła. Przykładem jest cukrzyca, która osłabia układ odpornościowy, co sprzyja rozwojowi stanów zapalnych w jamie ustnej. Osoby cierpiące na cukrzycę są bardziej narażone na infekcje dziąseł i mogą doświadczać bólu oraz krwawienia. Innym przykładem są choroby autoimmunologiczne, takie jak zespół Sjogrena, które prowadzą do suchości w jamie ustnej, zwiększając ryzyko podrażnienia i bólu dziąseł.
Zmiany hormonalne, które występują w czasie ciąży, mogą również wpłynąć na zdrowie dziąseł. W tym okresie kobiety mogą doświadczać większej wrażliwości dziąseł oraz ich obrzęku. Ponadto, niektóre zaburzenia hematologiczne mogą prowadzić do problemów z krzepliwością krwi, co z kolei może skutkować krwawieniem dziąseł. Dlatego tak ważne jest, aby osoby z chorobami ogólnoustrojowymi regularnie kontrolowały stan swoich dziąseł, aby uniknąć poważniejszych komplikacji.
Objawy towarzyszące bólowi dziąseł: Co powinno Cię zaniepokoić
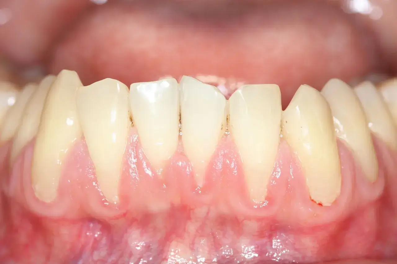
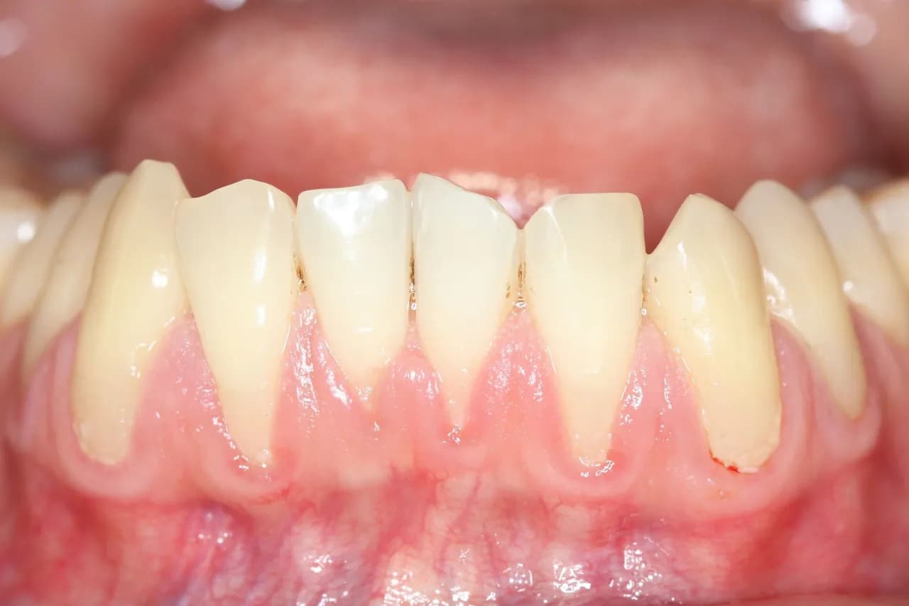
Ból dziąseł często towarzyszy różnym objawom, które mogą wskazywać na poważniejsze problemy zdrowotne. Krwawienie dziąseł, szczególnie podczas szczotkowania zębów, jest jednym z najczęstszych objawów, które powinny wzbudzić niepokój. Obrzęk dziąseł to kolejny sygnał, że coś jest nie tak. Oba te objawy mogą wskazywać na stan zapalny, który wymaga interwencji dentystycznej.
Inne objawy, które mogą towarzyszyć bólowi dziąseł, to nieprzyjemny zapach z ust oraz zmiany w kolorze dziąseł. Jeśli zauważysz, że dziąsła są zaczerwienione lub mają inny kolor niż zwykle, warto skonsultować się z dentystą. W przypadku utrzymujących się objawów, takich jak ból lub krwawienie, konieczna jest wizyta u specjalisty, aby zdiagnozować problem i rozpocząć odpowiednie leczenie.
Krwawienie i obrzęk: Kiedy to sygnał do działania?
Krwawienie i obrzęk dziąseł to objawy, które nie powinny być ignorowane. Mogą one wskazywać na zapalenie dziąseł, które, jeśli nie zostanie odpowiednio leczone, może prowadzić do poważniejszych schorzeń, takich jak paradontoza. Krwawienie podczas szczotkowania zębów lub przy używaniu nici dentystycznej jest często pierwszym sygnałem, że dziąsła są podrażnione. Obrzęk, z kolei, może wskazywać na stan zapalny, który wymaga natychmiastowej uwagi.
Nieprzyjemny zapach z ust: Co może oznaczać?
Nieprzyjemny zapach z ust, znany również jako halitoza, może być sygnałem, że coś jest nie tak z zdrowiem jamy ustnej. Często jest on związany z problemami z dziąsłami, takimi jak zapalenie, które mogą prowadzić do gromadzenia się bakterii w jamie ustnej. Te bakterie produkują związki siarki, które są główną przyczyną nieprzyjemnego zapachu. Ponadto, nagromadzenie płytki nazębnej oraz resztek jedzenia może również sprzyjać powstawaniu halitozy, co jest szczególnie zauważalne u osób, które nie dbają o regularne szczotkowanie zębów.
Inne przyczyny nieprzyjemnego zapachu mogą obejmować choroby ogólnoustrojowe, takie jak cukrzyca, która może powodować specyficzny zapach związany z ketonami. Problemy z układem pokarmowym, takie jak refluks, mogą również powodować, że treści żołądkowe dostają się do jamy ustnej, co również przyczynia się do nieprzyjemnego zapachu. Dlatego, jeśli zauważysz, że zapach z ust utrzymuje się pomimo dbania o higienę jamy ustnej, warto skonsultować się z dentystą lub lekarzem, aby zidentyfikować ewentualne problemy zdrowotne.
Kiedy udać się do dentysty: Objawy wymagające interwencji
Wizyta u dentysty powinna być rozważona, gdy zauważysz niepokojące objawy związane z dziąsłami. Jeśli doświadczasz utrzymującego się bólu lub dyskomfortu, który nie ustępuje, jest to sygnał, że coś może być nie tak. Krwawienie dziąseł podczas szczotkowania lub używania nici dentystycznej również powinno skłonić Cię do konsultacji z dentystą. Inne objawy, takie jak obrzęk, zaczerwienienie dziąseł, czy nieprzyjemny zapach z ust, mogą wskazywać na stan zapalny, który wymaga interwencji. W przypadku wystąpienia tych symptomów, nie należy zwlekać z wizytą, aby uniknąć poważniejszych problemów zdrowotnych.
Czytaj więcej: Jak rozpoznać objawy zapalenia dziąseł u psa i uniknąć bólu

Zapobieganie bólowi dziąseł: Kluczowe strategie ochrony
Aby zapobiec bólowi dziąseł, kluczowe jest utrzymanie odpowiedniej higieny jamy ustnej. Regularne szczotkowanie zębów co najmniej dwa razy dziennie oraz stosowanie nici dentystycznej pomaga w usuwaniu płytki nazębnej, która jest główną przyczyną stanów zapalnych. Również ważne jest, aby używać miękkiej szczoteczki do zębów, aby uniknąć podrażnień dziąseł. Warto również pamiętać o regularnych wizytach kontrolnych u dentysty, które pozwolą na wczesne wykrycie ewentualnych problemów.
Oprócz dbałości o higienę, dieta ma również istotne znaczenie dla zdrowia dziąseł. Spożywanie pokarmów bogatych w witaminy i minerały, takich jak owoce i warzywa, wspiera zdrowie jamy ustnej. Produkty bogate w witaminę C, na przykład cytrusy i papryka, pomagają w utrzymaniu zdrowych dziąseł. Unikanie nadmiernej ilości cukru i przetworzonych pokarmów również przyczynia się do zmniejszenia ryzyka wystąpienia problemów z dziąsłami. Wprowadzenie tych prostych nawyków do codziennego życia może znacząco wpłynąć na zdrowie jamy ustnej.
Higiena jamy ustnej: Jak prawidłowo dbać o zęby i dziąsła?
Aby skutecznie zapobiegać bólowi dziąseł, kluczowe jest utrzymanie prawidłowej higieny jamy ustnej. Regularne szczotkowanie zębów co najmniej dwa razy dziennie jest podstawą zdrowia jamy ustnej. Używaj miękkiej szczoteczki, aby nie podrażniać dziąseł, oraz pasty do zębów zawierającej fluor, która wzmacnia szkliwo. Oprócz szczotkowania, ważne jest także stosowanie nici dentystycznej, aby usunąć resztki pokarmowe i płytkę nazębną z trudno dostępnych miejsc. Rekomenduje się również płukanie jamy ustnej odpowiednim płynem antybakteryjnym, co dodatkowo wspiera walkę z bakteriami i stanami zapalnymi. Regularne wizyty u dentysty pozwalają na wczesne wykrycie problemów i są niezbędnym elementem dbania o zdrowe zęby i dziąsła.
Dieta a zdrowie dziąseł: Jakie produkty wspierają zdrowie?
Odpowiednia dieta ma istotny wpływ na zdrowie dziąseł. Spożywanie pokarmów bogatych w witaminy C i D jest kluczowe dla utrzymania zdrowych dziąseł. Na przykład, owoce cytrusowe, takie jak pomarańcze i grejpfruty, dostarczają witaminy C, która wspiera produkcję kolagenu i przyspiesza gojenie się tkanek. Również jogurt naturalny jest korzystny, ponieważ zawiera probiotyki, które pomagają w utrzymaniu równowagi mikroflory w jamie ustnej. Warzywa liściaste, takie jak szpinak i jarmuż, są bogate w witaminy i minerały, które wspierają zdrowie dziąseł. Unikanie nadmiaru cukrów i przetworzonej żywności również przyczynia się do lepszego stanu zdrowia jamy ustnej, zmniejszając ryzyko wystąpienia stanów zapalnych.
Nowoczesne technologie w dbaniu o zdrowie dziąseł i zębów
W dobie nowoczesnych technologii, dbanie o zdrowie jamy ustnej zyskuje nowe możliwości. Inteligentne szczoteczki do zębów wyposażone w czujniki mogą pomóc użytkownikom w poprawie techniki szczotkowania, dostarczając informacje o czasie szczotkowania oraz miejscach, które wymagają większej uwagi. Dzięki aplikacjom mobilnym można śledzić postępy w higienie jamy ustnej oraz ustalać przypomnienia o regularnych wizytach u dentysty. Co więcej, technologia skanowania 3D umożliwia dentystom dokładniejsze diagnozowanie problemów z dziąsłami i zębami, co prowadzi do bardziej spersonalizowanych planów leczenia.
Warto również zwrócić uwagę na innowacyjne rozwiązania w diecie, takie jak suplementy diety zawierające składniki wspierające zdrowie dziąseł, jak np. ekstrakt z zielonej herbaty, który ma właściwości przeciwzapalne. W przyszłości możemy oczekiwać coraz większej integracji technologii z codziennymi praktykami dbania o zdrowie jamy ustnej, co przyczyni się do lepszego samopoczucia i jakości życia. Pamiętaj, że inwestowanie w nowoczesne rozwiązania to krok w stronę zdrowszych dziąseł i zębów.
