dent-plast.pl

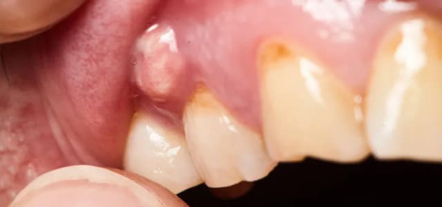
Tag jak leczyć ropień dziąsła w domu