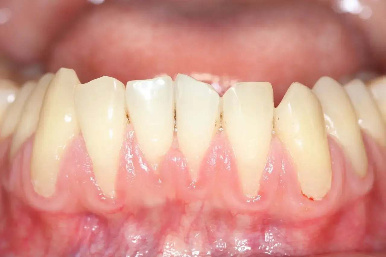
Biały nalot na dziąsłach to objaw, który może wywołać niepokój, zwłaszcza gdy pojawia się nagle. Choć często kojarzymy go z poważnymi problemami, jego przyczyny mogą być bardzo zróżnicowane. W tym artykule przyjrzymy się bliżej, co może oznaczać biały nalot na dziąsłach, kiedy należy się nim martwić, a kiedy można go zignorować, oraz jakie kroki podjąć, aby zadbać o zdrowie jamy ustnej.
Zauważenie białego nalotu na dziąsłach to sygnał, który powinien skłonić nas do przyjrzenia się bliżej stanowi naszej jamy ustnej. Nie zawsze musi oznaczać poważną chorobę, ale zawsze wymaga uwagi i zrozumienia potencjalnych przyczyn. Odpowiednia obserwacja i wiedza pozwolą nam właściwie zareagować.
Zauważyłeś biały nalot na dziąsłach? Sprawdź, co to może oznaczać i kiedy reagować
Obecność białego nalotu na dziąsłach może być powodem do zmartwienia, ale kluczowe jest zrozumienie, że nie każdy biały nalot jest sygnałem alarmowym. Czasami jest to jedynie efekt niedostatecznej higieny lub pozostałości po posiłku. Jednak w innych przypadkach może wskazywać na infekcję, stan zapalny, a nawet poważniejsze schorzenia. Dlatego tak ważne jest, aby nie lekceważyć tego objawu i dokładnie go obserwować.
Czy biały nalot na dziąsłach to zawsze powód do niepokoju? Pierwsze kroki i obserwacja
Zanim zaczniemy panikować, warto zastanowić się, czy biały nalot na dziąsłach może być czymś niegroźnym. Czasami jest to po prostu nagromadzenie resztek jedzenia, które przykleiły się do błony śluzowej, lub osad z kawy czy herbaty. Jednak czujność powinniśmy wzbudzić, gdy nalot jest trwały, towarzyszy mu ból, nieprzyjemny zapach z ust, krwawienie dziąseł lub inne niepokojące objawy. Obserwacja, czy nalot jest bolesny, jak łatwo go usunąć i czy pojawiają się inne symptomy, to pierwszy krok do zrozumienia problemu.
Jak odróżnić zwykły osad od niepokojącej zmiany? Prosty domowy test z gazikiem
Aby wstępnie ocenić charakter białego nalotu, możemy wykonać prosty test. Delikatnie przetrzyj zmienione miejsce czystym gazikiem. Jeśli nalot łatwo się usuwa, a pod nim znajduje się zdrowa, różowa błona śluzowa, prawdopodobnie jest to zwykły osad lub pozostałości pokarmowe. Jeśli jednak nalot pozostaje na miejscu, a próba jego starcia powoduje ból, krwawienie lub odsłania nadżerkę, jest to sygnał, że należy skonsultować się ze specjalistą. Według danych Sunstar GUM, białe dziąsła mogą świadczyć o różnych problemach, od błahych po poważne, dlatego obserwacja jest kluczowa.

Najczęstsze przyczyny białego nalotu na dziąsłach: Infekcje i stany zapalne
Wiele problemów z jamą ustną ma swoje źródło w infekcjach i stanach zapalnych. Biały nalot na dziąsłach często jest pierwszym widocznym objawem tych schorzeń, dlatego warto przyjrzeć się im bliżej, aby móc szybko zidentyfikować problem i rozpocząć odpowiednie leczenie.
Pleśniawki (kandydoza) – charakterystyczny nalot jak "zsiadłe mleko"
Jedną z najczęstszych przyczyn białego nalotu na dziąsłach, szczególnie u niemowląt i osób z osłabioną odpornością, są pleśniawki, czyli kandydoza jamy ustnej. Wywołane są przez drożdżaki z rodzaju *Candida albicans*. Charakteryzują się białym, grudkowatym nalotem, który przypomina zsiadłe mleko. Często można go zetrzeć, ale pod nim znajduje się zaczerwienione, czasem krwawiące podłoże. Ryzyko wystąpienia pleśniawek wzrasta u niemowląt, osób z obniżoną odpornością, po antybiotykoterapii, u użytkowników protez zębowych oraz u pacjentów z cukrzycą. Brak odpowiedniej higieny protez również sprzyja rozwojowi tej infekcji.
Afty – bolesne ranki czy jednolity nalot? Naucz się je rozróżniać
Warto odróżnić biały nalot od aft. Afty to bolesne, okrągłe lub owalne owrzodzenia, które pojawiają się na błonie śluzowej jamy ustnej. Mają białawy lub żółtawy środek i czerwoną obwódkę. Nie są to jednak jednolite naloty pokrywające całe dziąsło, lecz pojedyncze lub grupujące się ranki. Ich obecność jest zazwyczaj bolesna i może utrudniać jedzenie oraz mówienie.
Wrzodziejąco-martwicze zapalenie dziąseł – alarmujące objawy przy szyjkach zębowych
Bardziej poważną przyczyną białego nalotu, często z towarzyszącym bólem i krwawieniem, może być wrzodziejąco-martwicze zapalenie dziąseł. Jest to ostra forma zapalenia przyzębia, która prowadzi do martwicy tkanek dziąseł, szczególnie w okolicy szyjek zębowych. Często towarzyszy jej nieprzyjemny zapach z ust i widoczny białawy nalot na zmienionych chorobowo obszarach.

Inne schorzenia i czynniki wywołujące biały nalot na dziąsłach
Poza infekcjami bakteryjnymi i grzybiczymi, istnieje szereg innych schorzeń i czynników, które mogą manifestować się jako biały nalot lub plamy na dziąsłach. Zrozumienie tych przyczyn jest kluczowe dla postawienia właściwej diagnozy i wdrożenia odpowiedniego leczenia.
Leukoplakia – biała plama, której nie da się zetrzeć, a której nie wolno ignorować
Leukoplakia objawia się jako biała plama lub zgrubienie na błonie śluzowej jamy ustnej, w tym na dziąsłach. Kluczową cechą jest to, że tej zmiany nie da się zetrzeć. Choć większość przypadków leukoplakii ma charakter łagodny, jest ona uważana za stan przednowotworowy, co oznacza, że istnieje ryzyko jej przemiany w raka. Najczęstszymi czynnikami ryzyka są palenie tytoniu i nadmierne spożywanie alkoholu. Zmiany te najczęściej pojawiają się u osób po 40. roku życia.
Liszaj płaski – gdy na dziąsłach pojawia się biała "koronka"
Liszaj płaski to choroba autoimmunologiczna, która może dotyczyć skóry, błon śluzowych, włosów i paznokci. W jamie ustnej liszaj płaski często przybiera postać białych, siateczkowatych wzorów lub plam, które mogą pojawiać się na wewnętrznej stronie policzków, języku i dziąsłach. Czasem zmiany te mogą mieć charakter nadżerkowy i być bolesne.
Brak higieny – czy to tylko nagromadzona płytka nazębna?
Niewłaściwa higiena jamy ustnej jest częstą przyczyną problemów z dziąsłami, w tym powstawania białego nalotu. Nagromadzenie płytki bakteryjnej, czyli lepkiej warstwy bakterii i resztek jedzenia, przy linii dziąseł może sprawiać wrażenie białawego osadu. Regularne i dokładne szczotkowanie zębów, używanie nici dentystycznej oraz czyszczenie języka są kluczowe dla utrzymania czystości i zapobiegania gromadzeniu się płytki.
Anemia – czy blade dziąsła mogą świadczyć o niedoborach w organizmie?
Anemia, czyli niedokrwistość, może objawiać się bladością błon śluzowych, w tym dziąseł. Choć anemia sama w sobie nie powoduje białego nalotu, blade dziąsła mogą być mylone z obecnością nalotu lub świadczyć o ogólnym osłabieniu organizmu, które może wpływać na kondycję jamy ustnej i zwiększać podatność na inne problemy, takie jak infekcje.
Biały nalot w szczególnych sytuacjach – co musisz wiedzieć?
Niektóre sytuacje życiowe mogą wiązać się ze specyficznymi przyczynami białego nalotu na dziąsłach. Zrozumienie tych kontekstów pozwala na właściwą interpretację objawów i uniknięcie niepotrzebnego stresu.
Masz biały nalot po wyrwaniu zęba? To najprawdopodobniej włóknik, czyli naturalny opatrunek
Po ekstrakcji zęba w zębodole często pojawia się szaro-biały nalot. Jest to najczęściej włóknik, czyli naturalny skrzep krwi, który stanowi pierwszy etap gojenia rany. Włóknik tworzy swoisty "opatrunek", który chroni odsłonięte tkanki i wspiera proces regeneracji. Dopóki nie towarzyszy mu silny ból, obrzęk, gorączka lub nieprzyjemny zapach, nie należy się nim martwić. Jest to normalny element procesu zdrowienia.
Białe dziąsła u niemowlaka – kiedy to objaw ząbkowania, a kiedy infekcja?
U niemowląt białe dziąsła mogą mieć kilka przyczyn. Często są one związane z ząbkowaniem tuż przed wyrżnięciem się zęba dziąsło w tym miejscu może stać się jaśniejsze i twardsze. Innym częstym zjawiskiem są tzw. perły Epsteina małe, białe guzki na dziąsłach lub podniebieniu, które są niegroźnymi torbielami nabytymi i zazwyczaj znikają samoistnie. Należy jednak zwrócić uwagę na biały nalot przypominający zsiadłe mleko, który może być objawem pleśniawek, szczególnie jeśli niemowlę jest drażliwe, ma problemy z jedzeniem lub występuje u niego pieluszkowe zapalenie skóry wywołane przez grzyby.
Nalot pod protezą zębową – jak dbać o higienę, by uniknąć problemów?
Osoby noszące protezy zębowe są bardziej narażone na rozwój białego nalotu, często spowodowanego pleśniawkami. Dzieje się tak z powodu trudności w utrzymaniu idealnej higieny pod protezą oraz specyficznego mikroklimatu, który sprzyja rozwojowi drobnoustrojów. Kluczowe jest codzienne, dokładne czyszczenie protezy specjalnymi preparatami oraz regularne szczotkowanie dziąseł i języka. Należy również pamiętać o regularnych wizytach kontrolnych u protetyka lub stomatologa.
Jak radzić sobie z białym nalotem? Skuteczne metody leczenia i domowe sposoby
Sposób radzenia sobie z białym nalotem na dziąsłach zależy przede wszystkim od jego przyczyny. W niektórych przypadkach wystarczą domowe metody i poprawa higieny, w innych konieczne jest leczenie farmakologiczne lub interwencja specjalisty.
Leczenie u specjalisty – kiedy potrzebne są leki przeciwgrzybicze, a kiedy interwencja chirurga?
Jeśli przyczyną białego nalotu są pleśniawki, lekarz stomatolog lub lekarz pierwszego kontaktu może przepisać leki przeciwgrzybicze w postaci tabletek, zawiesin lub maści. W przypadku leukoplakii kluczowe jest wyeliminowanie czynników drażniących, takich jak palenie tytoniu czy spożywanie alkoholu, oraz regularna obserwacja zmiany. Czasem konieczne może być jej chirurgiczne usunięcie, zwłaszcza jeśli istnieje podejrzenie zmian nowotworowych. W przypadku wrzodziejąco-martwiczego zapalenia dziąseł leczenie obejmuje profesjonalne oczyszczanie zębów i dziąseł oraz antybiotykoterapię.
Bezpieczne domowe płukanki, które mogą przynieść ulgę – szałwia, rumianek, woda z solą
- Płukanka z szałwii: Szałwia ma właściwości przeciwzapalne i antyseptyczne. Zaparz łyżkę suszonych liści szałwii w szklance wrzątku, odstaw do ostygnięcia, przecedź i płucz jamę ustną kilka razy dziennie.
- Płukanka z rumianku: Rumianek działa łagodząco i przeciwzapalnie. Podobnie jak szałwię, można go zaparzyć i używać do płukania jamy ustnej.
- Roztwór wody z solą: Pół łyżeczki soli rozpuszczonej w szklance ciepłej wody to prosty, ale skuteczny środek do płukania jamy ustnej. Sól pomaga oczyścić błonę śluzową i może wspomagać gojenie.
Pamiętaj, że domowe sposoby są metodami wspomagającymi i nie zastąpią profesjonalnej konsultacji medycznej, zwłaszcza gdy objawy są nasilone lub utrzymują się długo.
Czego unikać, by nie pogorszyć stanu? Produkty i nawyki, które podrażniają śluzówkę
- Ostre i kwaśne potrawy: Pokarmy takie jak ostre przyprawy, cytrusy, pomidory czy ocet mogą dodatkowo podrażniać już wrażliwą śluzówkę jamy ustnej.
- Gorące napoje i potrawy: Zbyt wysoka temperatura może powodować oparzenia i podrażnienia błony śluzowej.
- Alkohol: Alkohol, zwłaszcza w dużych ilościach, może wysuszać i podrażniać śluzówkę, a także zaburzać równowagę mikroflory jamy ustnej.
- Nikotyna: Palenie papierosów i używanie innych wyrobów tytoniowych jest jednym z głównych czynników ryzyka rozwoju leukoplakii i raka jamy ustnej.
- Niedostateczna higiena: Brak regularnego i dokładnego czyszczenia zębów, języka i dziąseł sprzyja namnażaniu się bakterii i pogarsza stan zapalny.
Biały nalot na dziąsłach – kiedy wizyta u stomatologa jest absolutnie konieczna?
Choć wiele przypadków białego nalotu można rozwiązać domowymi sposobami lub po konsultacji z lekarzem pierwszego kontaktu, istnieją sygnały alarmowe, które bezwzględnie wymagają natychmiastowej wizyty u stomatologa. Wczesna diagnostyka jest kluczowa dla skutecznego leczenia i zapobiegania poważniejszym konsekwencjom zdrowotnym.
Czerwone flagi: objawy, których nie możesz zignorować (ból, krwawienie, zmiana nie znika po 2 tygodniach)
- Utrzymywanie się zmiany: Biały nalot lub plama, która nie znika samoistnie po upływie 2 tygodni, powinna wzbudzić Twoją uwagę.
- Powiększanie się zmiany: Jeśli zauważysz, że biała zmiana na dziąśle lub w jamie ustnej powiększa się, jest to powód do pilnej konsultacji.
- Ból: Każdy ból w obrębie jamy ustnej, zwłaszcza jeśli towarzyszy mu biały nalot, wymaga uwagi lekarza.
- Krwawienie: Jeśli biały nalot lub zmienione miejsce na dziąśle krwawi samoistnie lub podczas szczotkowania, jest to sygnał alarmowy.
- Towarzysząca gorączka: Wystąpienie gorączki w połączeniu z innymi objawami ze strony jamy ustnej może wskazywać na poważniejszą infekcję.
Jak wygląda diagnostyka? Przygotuj się na wywiad, badanie i ewentualny wymaz
Podczas wizyty u stomatologa możesz spodziewać się kilku etapów diagnostyki. Lekarz przeprowadzi szczegółowy wywiad, pytając o Twoje nawyki żywieniowe, historię chorób, przyjmowane leki oraz czas trwania i charakter objawów. Następnie przeprowadzi dokładne badanie jamy ustnej, oceniając wygląd, konsystencję i lokalizację białego nalotu lub plamy. W zależności od podejrzewanej przyczyny, stomatolog może zlecić pobranie wymazu z jamy ustnej do badań mikrobiologicznych (np. w kierunku grzybów lub bakterii) lub, w przypadku podejrzenia zmian przednowotworowych, skierować Cię na biopsję, czyli pobranie niewielkiego fragmentu tkanki do badania histopatologicznego.
Lepiej zapobiegać niż leczyć: Jak dbać o jamę ustną, by problem białego nalotu nie powracał?
Najlepszym sposobem na uniknięcie problemów z białym nalotem na dziąsłach jest odpowiednia profilaktyka i codzienne dbanie o higienę jamy ustnej. Regularne działania zapobiegawcze pomagają utrzymać zdrowie dziąseł i zapobiegają nawrotom infekcji oraz innych schorzeń.
Kluczowa rola codziennej higieny – nie tylko zęby wymagają czyszczenia
Kompleksowa higiena jamy ustnej to podstawa. Obejmuje ona: regularne szczotkowanie zębów co najmniej dwa razy dziennie przez około dwie minuty, używanie nici dentystycznej do czyszczenia przestrzeni międzyzębowych, gdzie często gromadzą się resztki jedzenia i bakterie, oraz czyszczenie języka, na którym również gromadzą się drobnoustroje. Dziąsła również wymagają delikatnego czyszczenia, na przykład za pomocą miękkiej szczoteczki lub specjalnych szczoteczek międzyzębowych.
Dieta a zdrowie dziąseł – co włączyć do jadłospisu, a co ograniczyć?
- Produkty wspierające zdrowie jamy ustnej: Warzywa i owoce bogate w witaminy (szczególnie C i D) oraz błonnik pomagają wzmocnić dziąsła i błony śluzowe. Nabiał, bogaty w wapń, wzmacnia zęby.
- Produkty, które warto ograniczyć: Nadmierne spożycie cukrów prostych sprzyja rozwojowi bakterii próchnicotwórczych i może wpływać na stan dziąseł. Unikaj również przetworzonej żywności, która często zawiera konserwanty i sztuczne dodatki.
Przeczytaj również: Szałwia czy rumianek na dziąsła - który zioło skuteczniej łagodzi ból?
Regularne wizyty kontrolne u dentysty jako podstawa profilaktyki
Nawet przy najlepszej domowej higienie, regularne wizyty kontrolne u stomatologa są nieodzowne. Zaleca się je co najmniej raz na pół roku. Podczas takiej wizyty dentysta może wcześnie wykryć ewentualne problemy, takie jak początki próchnicy, choroby dziąseł czy niepokojące zmiany na błonie śluzowej, zanim staną się one poważniejsze. Profesjonalne czyszczenie zębów (skaling i piaskowanie) usuwa kamień nazębny i osady, które mogą przyczyniać się do problemów z dziąsłami.
