dent-plast.pl

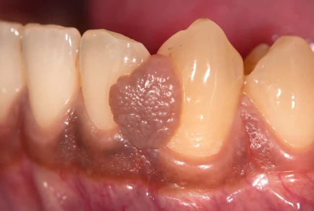
Tag domowe sposoby na zmniejszenie opuchlizny dziąsła