dent-plast.pl

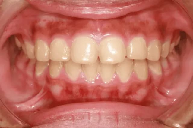
Tag jakie są cechy zdrowych dziąseł